Collection of cases Collection of cases

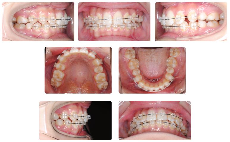
海外からの転院症例  10代後半

主訴:海外で治療していたが治療を継続してほしい

初診時年齢:18歳

性別:女性

診断名:叢生

抜歯/非抜歯:抜歯済み(上顎のみ)

装置名:マルチブラケット装置

治療費用:約42万円(税別)と来院時に調節料5,000円(税別)

治療期間:1年0ヶ月

治療に関する副作用/リスク: 装置による口腔粘膜の口内炎  カリエス

 

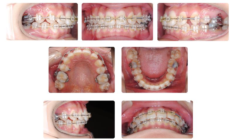
海外で1年半ほど治療を行っていたとのことですが、帰国したので当院にて治療を継続することになりました。上あごの左右小臼歯はすでに抜歯されてから久しい状況です。

 

当院で治療を開始するにあたりまず一通りの検査を経てから一部装置の除去と交換を行いました。上の写真は初診時の状態、下の写真は検査後に装置を一部除去してから新しい装置に交換する前の状態です。

 

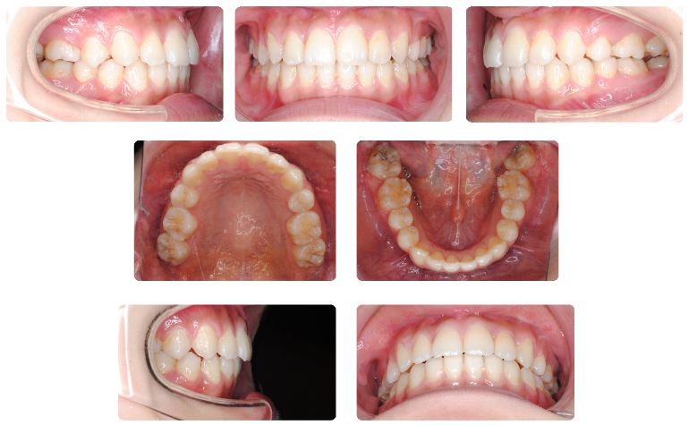
治療期間は1年でした。

 

矯正歯科治療の引き継ぎ症例は、治療方針の大幅な変更を必要とすることが多々あります。

また進行状況次第では初診時以上に難易度が高くなることも多いのですが、ご本人様の治療への協力も良好であったこともあり一旦治療が再開してからは順調に仕上げることができました。

 

治療が長期に渡る場合にはカリエスには注意を要します。

2026年 4月
SUNMONTUEWEDTHUFRISAT
29休診日
30
31
1休診日
2
3
4
5休診日
6
7
8休診日
9
10
11
12休診日
13
14
15休診日
16
17
18
19休診日
20
21
22休診日
23
24
25
26休診日
27
28
29休診日
30
1
2
2026年 5月
SUNMONTUEWEDTHUFRISAT
26休診日
27
28
29休診日
30
1
2
3休診日
4
5
6休診日
7
8
9
10休診日
11
12
13休診日
14
15
16
17休診日
18
19
20休診日
21
22
23
24休診日
25
26
27休診日
28
29
30
31休診日
1
2
3休診日
4
5
6

診療日

休診日

午後休診

その他

診療日