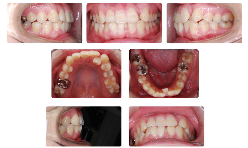
主訴:前歯の見た目が気になる
初診時年齢:21歳
性別:女性
診断名:叢生
抜歯/非抜歯:抜歯
装置名:マルチブラケット装置
治療費用:約65万円(税別)と来院時に調節料5,000円(税別)
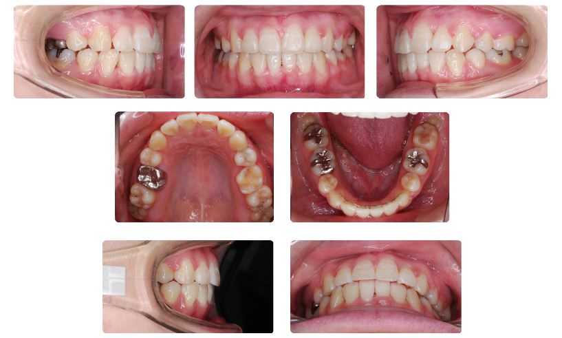
治療期間:1年11ヶ月
治療に関する副作用/リスク:歯の移動時の痛み 装置による口腔粘膜の口内炎 カリエス
矯正治療前の側貌の口唇のラインが良好であること、個々の歯の大きさ、顎骨の奥行の長さなどを考慮して上下顎とも小臼歯抜歯での治療を進めることにしました。

治療期間は1年11か月でした。
上下顎の相対的な位置関係は比較的良好で治療も順調に進みましたが、治療過程の途中で上下前歯の正中合わせと残ったスペースの完全閉鎖に時間を要してしまいました。



