主訴:前歯の歯並びを治したい 鼻がつまって口が閉じれない
初診時年齢:10歳
性別:女性
診断名:口呼吸と舌癖を伴う上顎歯列狭窄と叢生
抜歯/非抜歯:非抜歯
装置名:マルチブラケット装置
治療費用:約73万7千円(税込)と来院時に調節料5,500円(税込)
治療期間:2年8ヶ月
治療に関する副作用/リスク:歯の移動時の痛み 装置による口腔粘膜の口内炎 後戻り
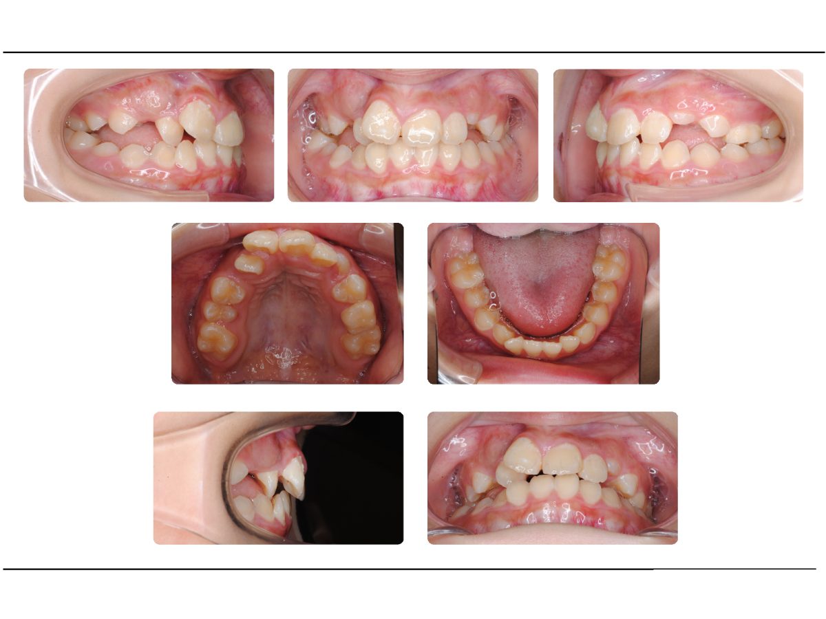
前歯の歯並びを治したい 鼻がつまって口が閉じれないということで来院されました。上顎は歯列が狭く前歯の叢生が大きいことに加えまして、舌癖による影響で側側歯が咬み合っていない状態です。
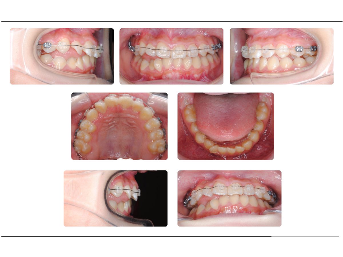
まず上顎歯列の拡大から治療をスタートしてから上顎はマルチブラケットによる治療に移行しました。舌癖の影響を除くため、MFTを併用しながら治療を進めております。

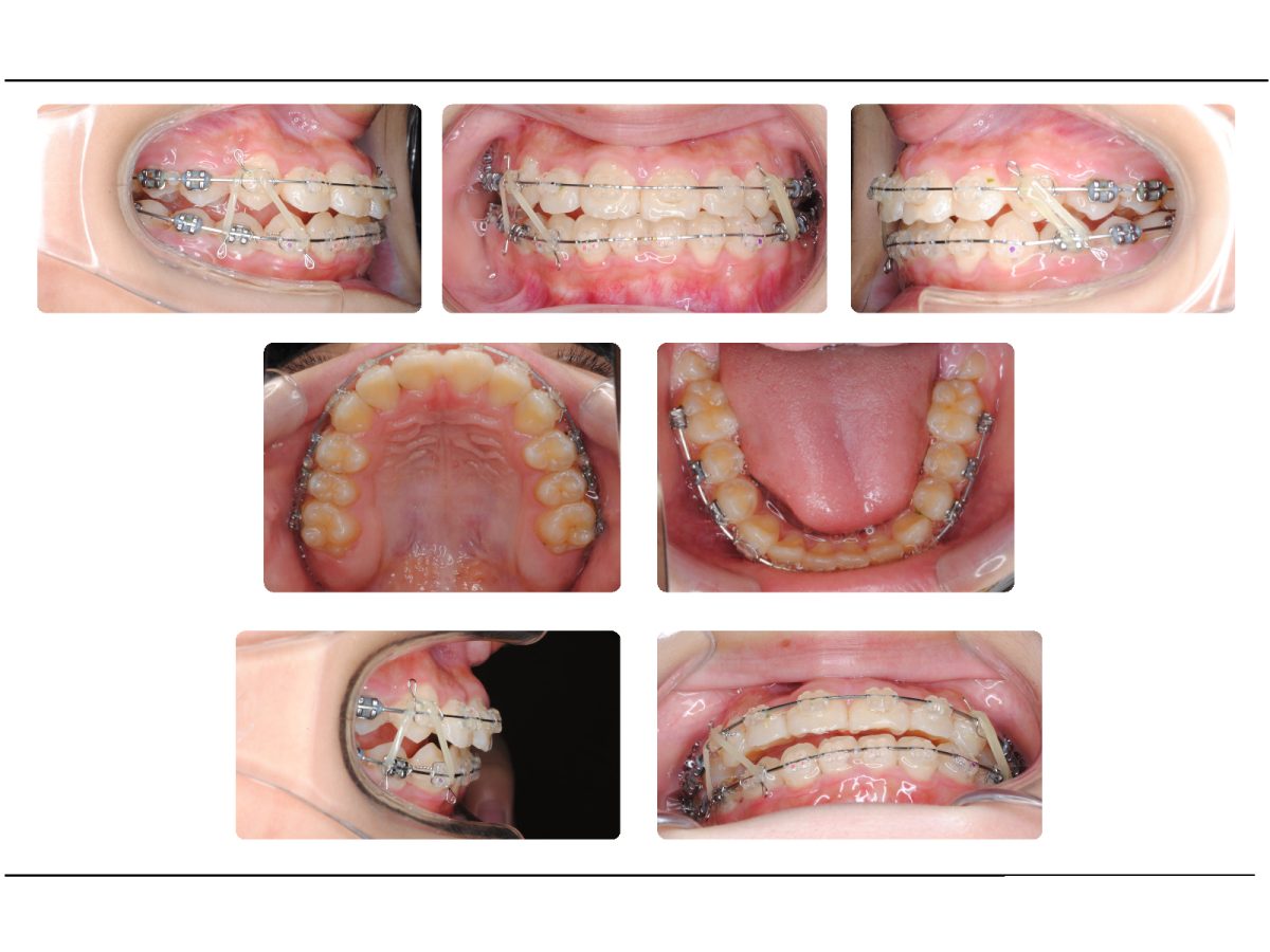
MFTの成果が出てくるまで時間を要しましたが記録と継続を厳守させました。舌の位置が変わり舌による歯列への影響が少しずつ変化してくると上下の歯は素直に咬んできました。


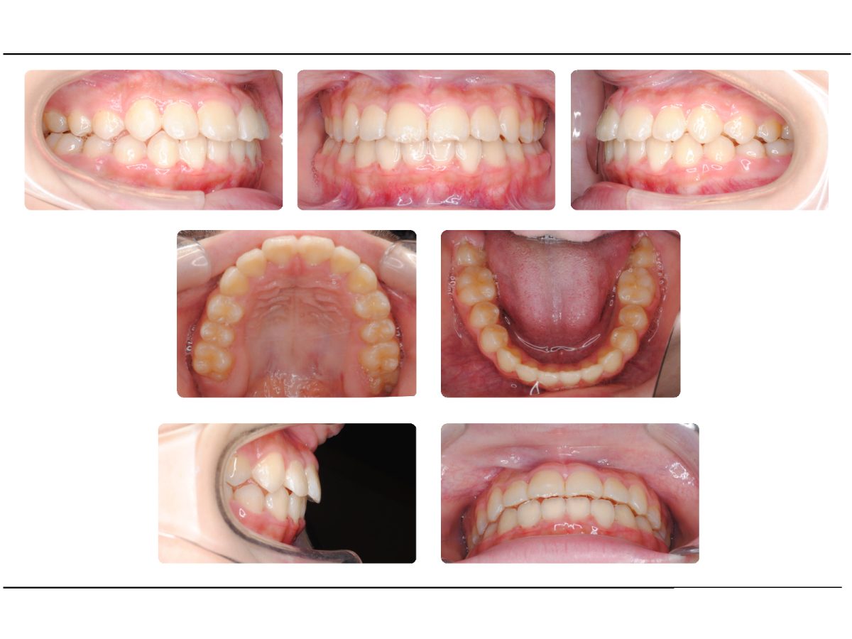
動的治療期間は2年8カ月でした。続いて保定中の経過観察期間に入ってもMFTなど舌のトレーニングの継続は必須です。


