主訴:前歯の歯並びが気になる
初診時年齢:43歳
性別:女性
診断名:叢生
抜歯/非抜歯:非抜歯
装置名:マルチブラケット装置
治療費用:約68万円(税別)と来院時に調節料5,000円(税別)
治療期間:2年9ヶ月
治療に関する副作用/リスク:歯の移動時の痛み 装置による口腔粘膜の口内炎
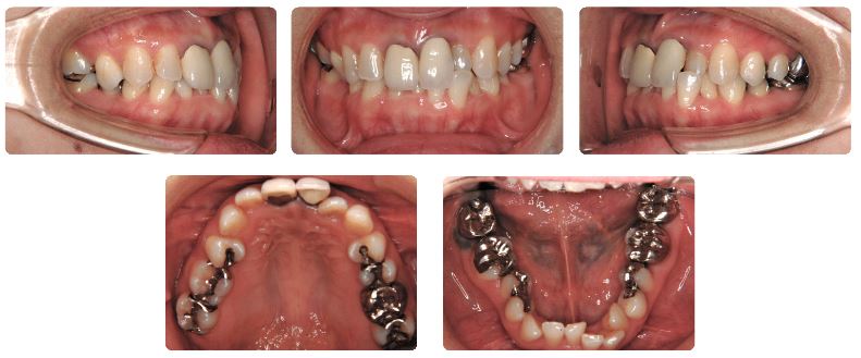
前歯のセラミックの人工歯がすぐに割れてしまうとのことで前歯の歯並びを治したいとのことで来院されました。
上下顎の前歯と臼歯の噛み合わせがとても深い状態です。
また補綴などの治療部位がとても多く、特に上あご前歯は要再治療の状態です。

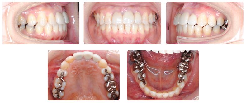
治療期間は2年9ヶ月でした。
上あごの矯正治療を先行していますが、前歯だけでなく臼歯の噛み合わせがとても深かったため下あごの歯に装置が装着できるようになるまで時間を要しました。



