Collection of cases Collection of cases

下あごが左にずれていて物が噛みにくい  20代後半

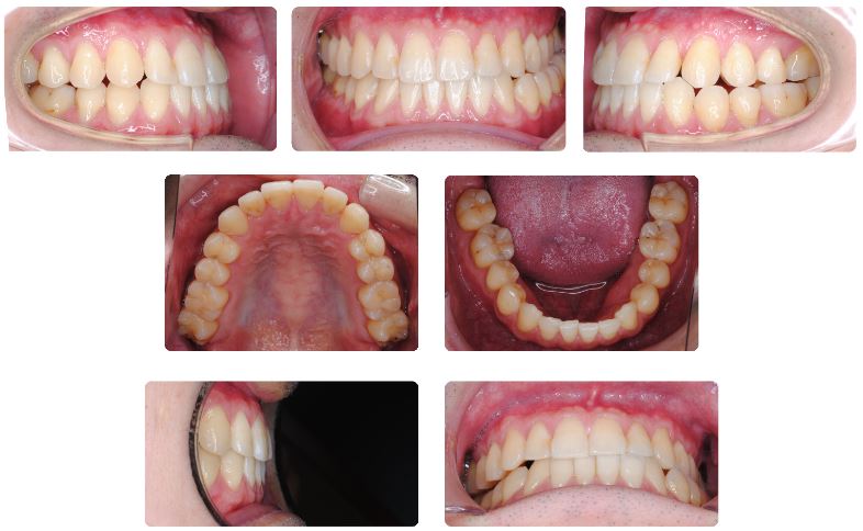
主訴:前歯の見た目が気になる

初診時年齢:25歳

性別:男性

診断名:骨格性反対咬合

抜歯/非抜歯:非抜歯

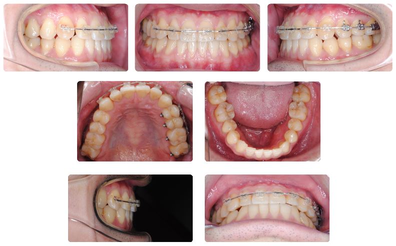
装置名:マルチブラケット装置

治療費用:約70万円(税抜)と来院時に調節料5,000円(税抜)

再治療期間:1年2ヶ月(totalで3年7ヶ月)

治療に関する副作用/リスク:歯の移動時の痛み  装置による口腔粘膜の口内炎

 

受け口(骨格性反対咬合)の治療過程の途中で遠方へ転勤されることになりましたので、一時的に装置を外した状態で仮保定していただきました。

2年半ほどのちに転勤先から戻られましたので治療を再開することになりました。

 

再診時に一番気になることは、下あごがずれていて左側で噛みにくいとのことでした。

 

装置を外した時の写真でなくて申し訳ないのですが、治療終了直前の状態です。

上・下あごの歯に必要最小限の範囲で装置を装着して、部分矯正で治療をすすめました。

 

上下の前歯のずれもほぼ一致して、左右均等に咬めるようになったとのことです。

2026年 4月
SUNMONTUEWEDTHUFRISAT
29休診日
30
31
1休診日
2
3
4
5休診日
6
7
8休診日
9
10
11
12休診日
13
14
15休診日
16
17
18
19休診日
20
21
22休診日
23
24
25
26休診日
27
28
29休診日
30
1
2
2026年 5月
SUNMONTUEWEDTHUFRISAT
26休診日
27
28
29休診日
30
1
2
3休診日
4
5
6休診日
7
8
9
10休診日
11
12
13休診日
14
15
16
17休診日
18
19
20休診日
21
22
23
24休診日
25
26
27休診日
28
29
30
31休診日
1
2
3休診日
4
5
6

診療日

休診日

午後休診

その他

診療日