主訴:下顎前歯のスペースを閉じてほしい
初診時年齢:29歳
性別:男性
診断名:下顎後退を伴う過蓋咬合
抜歯/非抜歯:非抜歯
装置名:マルチブラケット装置
治療費用:約68万円(税抜)と来院時に調節料5,000円(税抜)
治療期間:2年9ヶ月
治療に関する副作用/リスク:歯の移動時の痛み 装置による口腔粘膜の口内炎
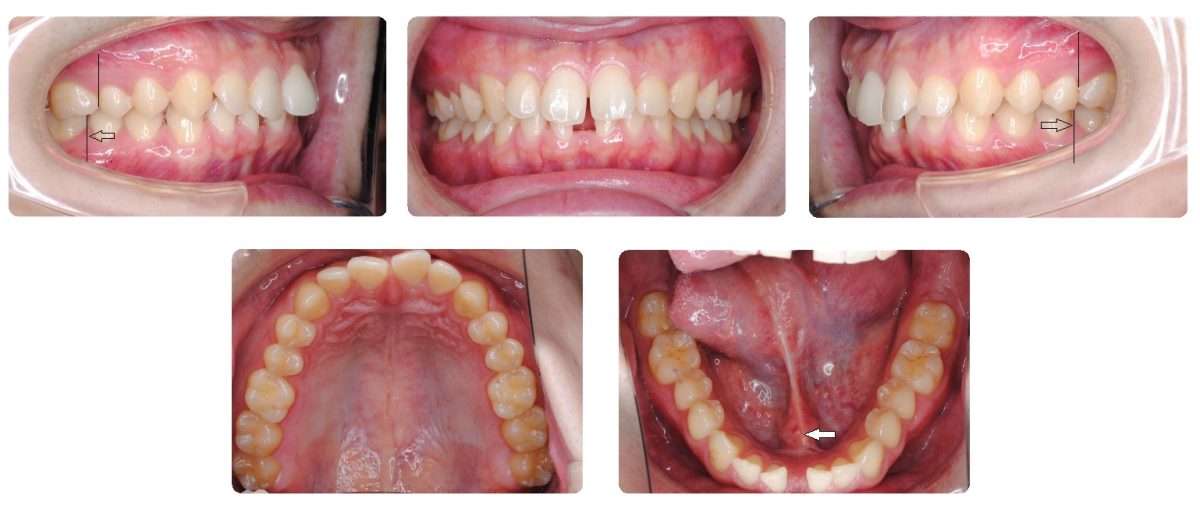
口腔外科の先生からの依頼です。舌小帯を切除した後に下顎前歯の真ん中のスペースが大きく目立つので気になるとのことです。また前歯のかみ合わせがかなり深く、下あごが大きく後退しています。

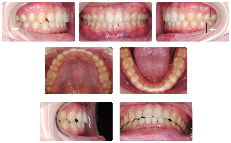
上下顎ともに小臼歯非抜歯で治療をすすめました。上顎小臼歯を抜歯して後退した下顎の位置まで上顎前歯を下げるのではなく下あごの前方へ誘導しました。咬み合わせが安定するまで期間を要しました。

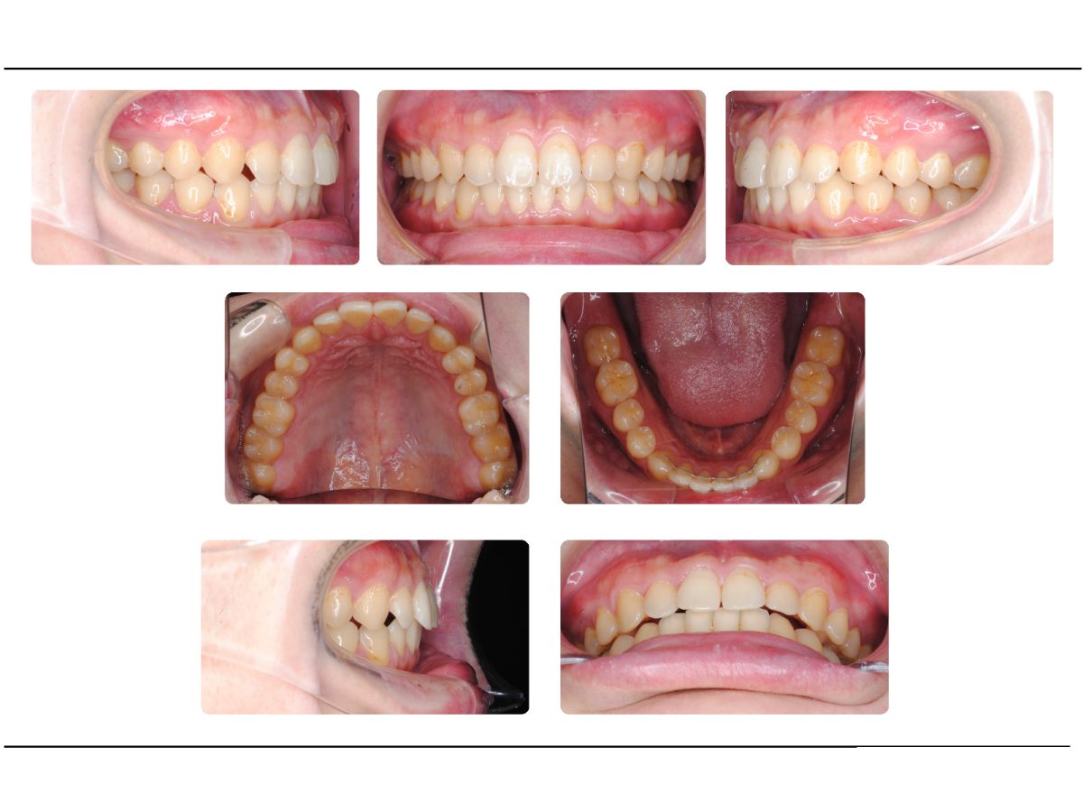
治療期間は2年9か月でした。

保定開始から2年経過した状態です。下顎の後方への後戻りは認められず前方に誘導した位置で安定しております。



