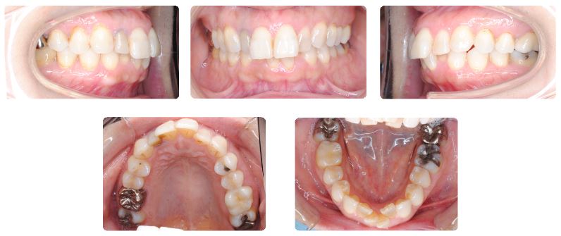
主訴:前歯の見た目が気になる
初診時年齢:47歳
性別:女性
診断名:前歯部叢生を伴う過蓋咬合
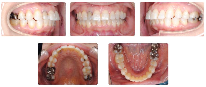
抜歯/非抜歯:非抜歯
装置名:マルチブラケット装置
治療費用:約62万円(税抜)と来院時に調節料5,000円(税抜)
治療期間:1年10ヶ月
治療に関する副作用/リスク:歯の移動時の痛み 装置による口腔粘膜の口内炎
下あごの歯並びを治したいとのことで来院されました。40代後半の女性です。
主訴は下顎の前歯の歯並びでしたが、このケースでは上顎にも装置装着が必要でした。
上下あごの歯列弓幅が狭いため歯列弓を拡大しながら、非抜歯でワイヤーでの唇側の固定式矯正装置で治療を進めることにしました。

治療期間は1年10ヶ月でした。
最初に上あごに固定式装置を装着して、まず上あご前歯を上方に圧下しながら歯列幅拡大をしました。
前歯の噛み合わせが深かったため、下あごの前歯に装置を装着できるまで4ヶ月ほど時間を要しましたが、装置を装着してからは順調に治療が進みました。



