主訴:前歯の歯並びが反対なのが気になる
初診時年齢:10歳
性別:女性
診断名:前歯部叢生を伴う反対咬合
抜歯/非抜歯:非抜歯
装置名:可撤式装置 → マルチブラケット装置
治療費用:約70万円(税抜)と来院時に調節料5,000円(税抜)
治療期間:3年9ヶ月
治療に関する副作用/リスク:歯の移動時の痛み 装置による口腔粘膜の口内炎
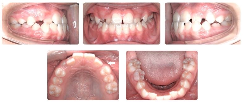
前歯の歯並びを治したいとのことで来院されました。
上あごの歯列幅が狭く、矢印で示す箇所のように左側の犬歯の生えるスペースが足りない状態です。

前歯の噛み合わせが浅めの反対咬合のケースですが、骨格的な因子はそれほど強くないため下顎の成長方向のコントロールや上顎前方牽引は必要ありませんでした。
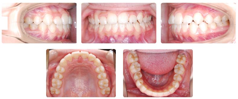
永久歯列への交換末期で、最初の半年ほど取り外し式の拡大装置を上あごに夜間のみ装着して上あご歯列幅の拡大を行いました。
ワイヤーの固定装置による動的処置を行いながら上下あごの12歳臼歯(第二大臼歯)が正常な位置に萌出するように誘導しました。



