Collection of cases Collection of cases

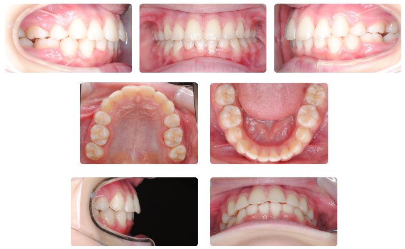
下顎後退を伴う八重歯で噛み合わせの深い症例  10代前半

主訴:八重歯の見た目が気になる

初診時年齢:12歳

性別:女性

診断名:下顎後退をともなう犬歯低位唇側転位

抜歯/非抜歯:抜歯

装置名:マルチブラケット装置

治療費用:約62万円(税抜)と来院時に調節料5,000円(税抜)

治療期間:2年1ヶ月

治療に関する副作用/リスク:歯の移動時の痛み  装置による口腔粘膜の口内炎

前歯の歯並び、特に八重歯が気になるとのことで来院されました。

 

乳歯が一部残存している時期でしたが、この症例では口元の突出を避けるため上下あごの小臼歯抜歯を選択してワイヤーによる固定式矯正装置で治療を進めました。

 

治療期間は2年1ヶ月でした。

 

萌出途中であった上下顎の最後臼歯(第二大臼歯)をしっかり咬ませるのに時間を要しました。

2026年 4月
SUNMONTUEWEDTHUFRISAT
29休診日
30
31
1休診日
2
3
4
5休診日
6
7
8休診日
9
10
11
12休診日
13
14
15休診日
16
17
18
19休診日
20
21
22休診日
23
24
25
26休診日
27
28
29休診日
30
1
2
2026年 5月
SUNMONTUEWEDTHUFRISAT
26休診日
27
28
29休診日
30
1
2
3休診日
4
5
6休診日
7
8
9
10休診日
11
12
13休診日
14
15
16
17休診日
18
19
20休診日
21
22
23
24休診日
25
26
27休診日
28
29
30
31休診日
1
2
3休診日
4
5
6

診療日

休診日

午後休診

その他

診療日