Collection of cases Collection of cases

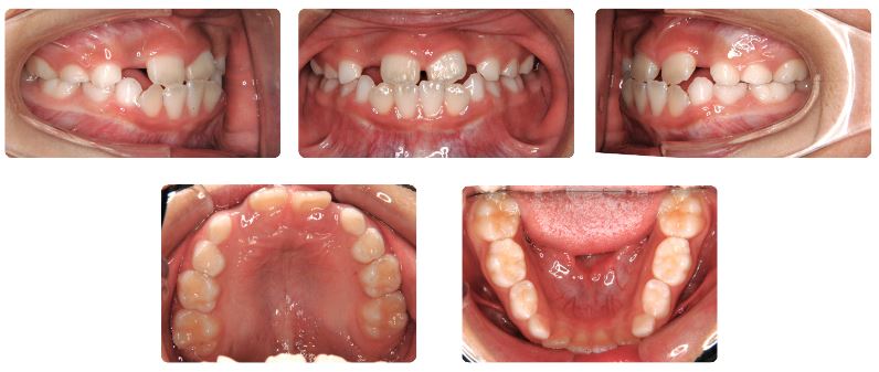
受け口(骨格性) 反対咬合&臼歯の交叉咬合  10代 

主訴:前歯のかみ合わせが反対なのが気になる

初診時年齢:10歳

性別:男性

診断名:骨格性反対咬合

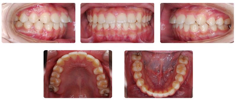
抜歯/非抜歯:非抜歯

装置名:マルチブラケット装置

治療費用:約70万円(税抜)と来院時に調節料5,000円(税抜)

治療期間:7年10ヶ月

治療に関する副作用/リスク:長期治療  装置による口腔粘膜の口内炎

 

前歯の噛み合わせが反対なのが気になって来院されました。

 

初診時にはすでに下あごが相対的に前方にでており、後に永久歯が生えそろってから前歯以外にも問題のある箇所が生じたケースです。

 

前歯の噛み合わせが浅い状態ですので、このままでは下あごが前下方向へさらに成長する可能性が非常に高い状態です。

混合歯列期からの治療スタートでしたので、上顎歯列幅の拡大を行うとともに、夜間にチンキャップ(あごあて)を併用していただきました。

 

永久歯列になったのちにワイヤーの固定式矯正装置を上下あごともに装着しています。

また身長の伸びと同時に下あごの前下方向への成長が長期間続きました。

 

上あごは八重歯になりましたがかろうじて小臼歯抜歯をせずに個々の歯を並べました。

その結果、上あごの奥行が足りなく最後臼歯である第二大臼歯が左右側上下で交叉した咬み合わせになりましたので、しっかり治してから装置を外しました。

2026年 4月
SUNMONTUEWEDTHUFRISAT
29休診日
30
31
1休診日
2
3
4
5休診日
6
7
8休診日
9
10
11
12休診日
13
14
15休診日
16
17
18
19休診日
20
21
22休診日
23
24
25
26休診日
27
28
29休診日
30
1
2
2026年 5月
SUNMONTUEWEDTHUFRISAT
26休診日
27
28
29休診日
30
1
2
3休診日
4
5
6休診日
7
8
9
10休診日
11
12
13休診日
14
15
16
17休診日
18
19
20休診日
21
22
23
24休診日
25
26
27休診日
28
29
30
31休診日
1
2
3休診日
4
5
6

診療日

休診日

午後休診

その他

診療日