Collection of cases Collection of cases

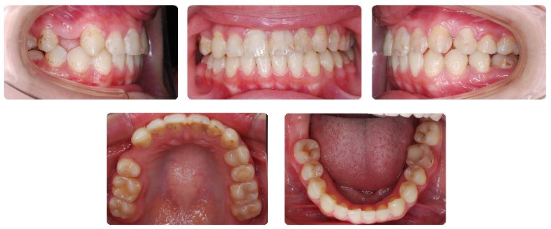
臼歯の早期喪失を伴う過蓋咬合  10代後半

初診時年齢:17歳

性別:女性

診断名:下顎偏位を伴う過蓋咬合

抜歯/非抜歯:非抜歯

装置名:マルチブラケット装置

治療費用:約70万円(税抜)と来院時に調節料5,000円(税抜)

治療期間:3年2ヶ月

治療に関する副作用/リスク:歯の移動時の痛み  装置による口腔粘膜の口内炎

 

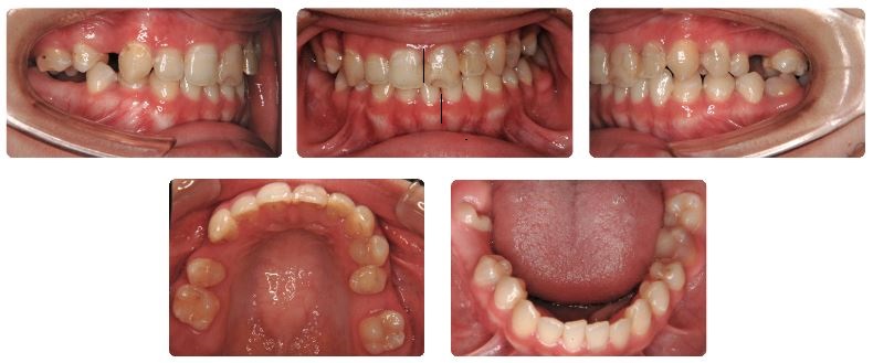
歯列矯正治療が長期間にわたった治療の一例になります。

 

多数の臼歯が早期に喪失した影響で上下あご全体の噛み合わせが深く真ん中のずれも大きめです。

この咬合状態で今後放置した場合には臼歯の咬合が崩れてしまうことが考えられます。

 

治療期間は3年2か月でした。

 

矯正治療に対するモチベーションを下げないように、とにかく可能な限り定期的に通院していただきました。

この症例は若年ということもあり矯正用アンカースクリュー(矯正用インプラント)の使用はしておりません。

 

治療過程の途中で幾度も来院間隔がかなり開いてしまいましたが、臼歯の移動と上下顎前歯の正中(真ん中)合わせを慎重に行いました。

 

上あご左側では6歳臼歯がすでに喪失していましたので親不知を生かすことで下あごの臼歯と咬合させました。

2026年 4月
SUNMONTUEWEDTHUFRISAT
29休診日
30
31
1休診日
2
3
4
5休診日
6
7
8休診日
9
10
11
12休診日
13
14
15休診日
16
17
18
19休診日
20
21
22休診日
23
24
25
26休診日
27
28
29休診日
30
1
2
2026年 5月
SUNMONTUEWEDTHUFRISAT
26休診日
27
28
29休診日
30
1
2
3休診日
4
5
6休診日
7
8
9
10休診日
11
12
13休診日
14
15
16
17休診日
18
19
20休診日
21
22
23
24休診日
25
26
27休診日
28
29
30
31休診日
1
2
3休診日
4
5
6

診療日

休診日

午後休診

その他

診療日