主訴:前歯の歯並びが気になる
初診時年齢:9歳
性別:男性
診断名:前歯部叢生を伴う過蓋咬合
抜歯/非抜歯:非抜歯
装置名:可撤式拡大装置 → 機能的筋機能矯正装置(トレーナー)
治療費用:約30万円(税抜)と来院時に調節料3,000/5,000円(税抜)
治療期間:2年4ヶ月
治療に関する副作用/リスク: 装置による口腔粘膜の口内炎
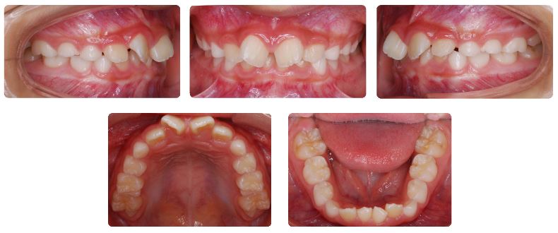
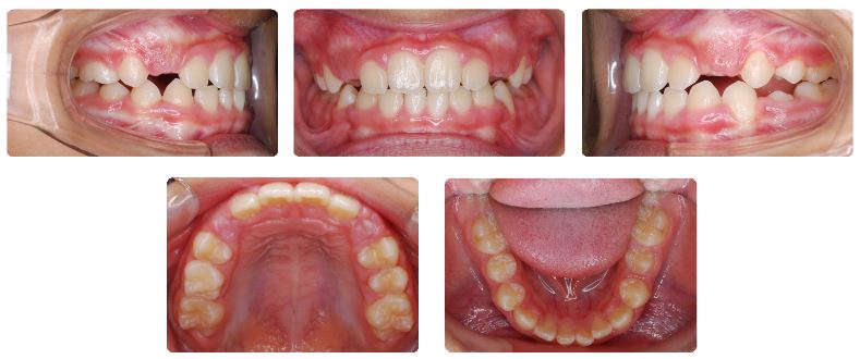
前歯の歯並びを治したいとのことで来院されました。
前歯の噛み合わせが深く、下あごの前歯が上あごの前歯に隠れて見えない状態です。
早くから治療を始めると期間が長くなってしまうと考えがちかもしれませんが、この時期からのスタートならではの大きなメリットがあります。

最初の半年間は、上あごに取り外しのできる歯列側方拡大装置を夜間のみ使用していただきました。
前歯の歯並びに少し隙間ができたタイミングで、マウスピース型の機能的矯正装置であるトレーナーを混合歯列期の間、現在まで使用しています。
初診時から現在まで使用した装置は取り外し式の拡大装置を半年間とトレーナーのみです。
毎日のトレーナー装着による舌を含めた機能トレーニングの成果です。
永久歯列期になる前のこの時期ならではの治療効果です。



