主訴:下顎前歯のスペースを閉じてほしい、かみ合わせをもっと良くしたい
初診時年齢:51歳
性別:女性
診断名:叢生
抜歯/非抜歯:非抜歯
装置名:マルチブラケット装置
治療費用:約62万円(税抜)と来院時に調節料5,000円(税抜)
治療期間:1年3ヶ月
治療に関する副作用/リスク:歯の移動時の痛み 装置による口腔粘膜の口内炎 歯肉退縮
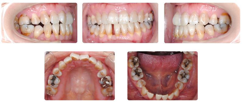
高校生の頃に矯正治療の経験があり、治療半ばでワイヤーによる固定式装置を外してから今日までそのままにしていたとのことです。
経過年月の割には歯並びの乱れはそれほど大きくはありませんが、歯槽骨や歯肉などを含む歯槽組織の経時的変化により個々の歯の傾斜やスペースが認められる状態です。

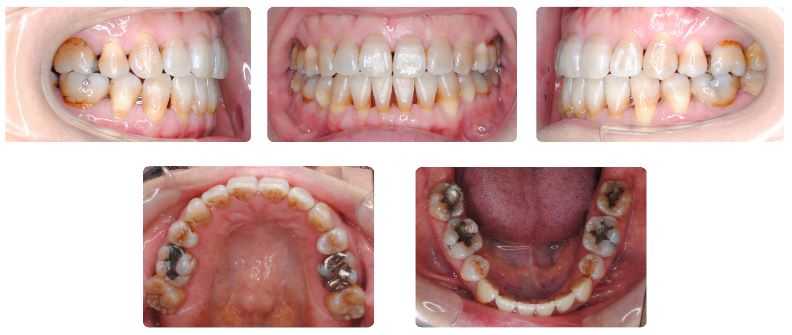
治療期間は1年3か月でした。
治療は比較的順調に進みましたが、保定開始間もなく下あご前歯のスペースが生じてしまったため(アライナー)マウスピースによる処置で歯並びを再度整えています。



