Collection of cases Collection of cases

下顎の側方偏位 (10代末) 

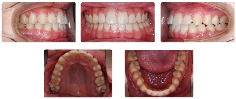
主訴:ものが噛みにくい、下あごがずれている

初診時年齢:19歳

性別:男性

診断名:下顎の側方偏位を伴う反対咬合

抜歯/非抜歯:非抜歯

装置名:マルチブラケット装置

治療費用:約70万円(税抜)と来院時に調節料5,000円(税抜)

治療期間:2年3ヶ月

治療に関する副作用/リスク:歯の移動時の痛み  装置による口腔粘膜の口内炎

 

ものが噛みにくい、下あごが左側にずれているのがずっと気になっているとのことで来院されました。

 

上あごの歯列幅が狭く、左側の側方歯の小・大臼歯が交叉咬合状態です。

 

治療期間は2年3ヶ月でした。

 

上あご歯列弓幅の拡大を最初に行いました。

下あごの親不知を抜歯してからワイヤーによる固定式矯正装置で治療を進めました。

2026年 4月
SUNMONTUEWEDTHUFRISAT
29休診日
30
31
1休診日
2
3
4
5休診日
6
7
8休診日
9
10
11
12休診日
13
14
15休診日
16
17
18
19休診日
20
21
22休診日
23
24
25
26休診日
27
28
29休診日
30
1
2
2026年 5月
SUNMONTUEWEDTHUFRISAT
26休診日
27
28
29休診日
30
1
2
3休診日
4
5
6休診日
7
8
9
10休診日
11
12
13休診日
14
15
16
17休診日
18
19
20休診日
21
22
23
24休診日
25
26
27休診日
28
29
30
31休診日
1
2
3休診日
4
5
6

診療日

休診日

午後休診

その他

診療日