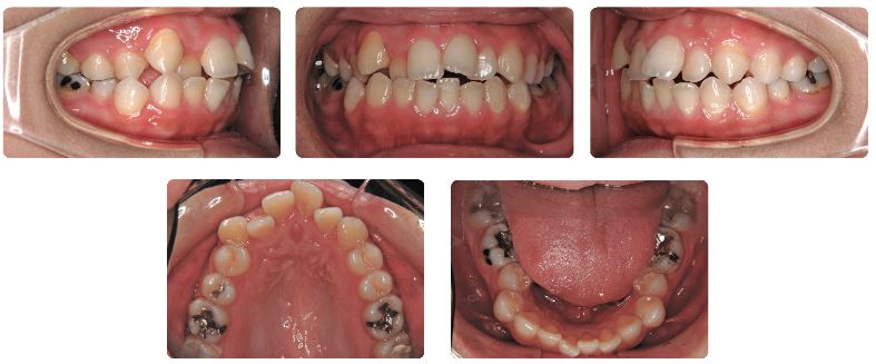
主訴:前歯の見た目が気になる
初診時年齢:28歳
性別:女性
診断名:舌癖を伴う歯槽性開咬
抜歯/非抜歯:非抜歯
装置名:マルチブラケット装置
治療費用:約65万円(税抜)と来院時に調節料5,000円(税抜)
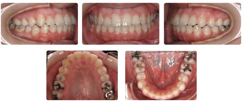
治療期間:2年2ヶ月
治療に関する副作用/リスク:歯の後戻り 装置による口腔粘膜の口内炎
前歯の歯並びが気になることが主訴で来院されました。
舌癖が強く認められましたが、ご本人様の意向もあり非抜歯での治療を進めることになりました。

動的治療の期間は2年2ヶ月、保定期間中も舌のトレーニングは必須でリテーナー装置にも工夫をしたのですが、残念ながら遠方へ転居されたため現状の確認ができておりません。
舌癖を伴う開咬症例(切端咬合)は保定期間中でもまめなチェックが必要ですし、継続した舌の挙上などのトレーニングは必須です。



