主訴:口が閉じにくい
初診時年齢:14歳
性別:男性
診断名:上下顎前突
抜歯/非抜歯:抜歯
装置名:マルチブラケット装置
治療費用:約62万円(税抜)と来院時に調節料5,000円(税抜)
治療期間:1年8ヶ月
治療に関する副作用/リスク:歯の移動時の痛み 装置による口腔粘膜の口内炎
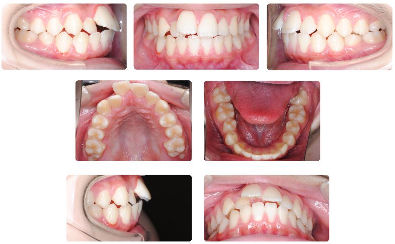
上あごの前歯が出ていて口元の出具合が気になる、口が閉じられないことが主訴で来院されました。
特に上あごの前歯のサイズが大きめなうえ、下あごが相対的にやや前方に位置しており切端咬合状態でした。


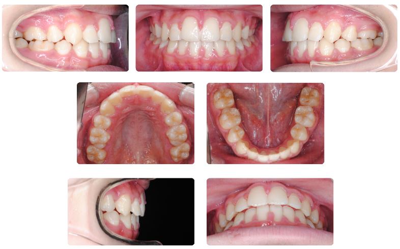
治療期間は1年8か月でした。
口元が閉じにくいこと、特に上あご前歯のサイズが大きめであることから上下あご共に小臼歯抜歯による治療を選択、可能な限り前歯を奥に下げることで口を閉じやすい状態にすることを目的としました。
術前と術後を比べますと口元がすっきりして口がとても閉じやすくなったとのことでした。




