Collection of cases Collection of cases

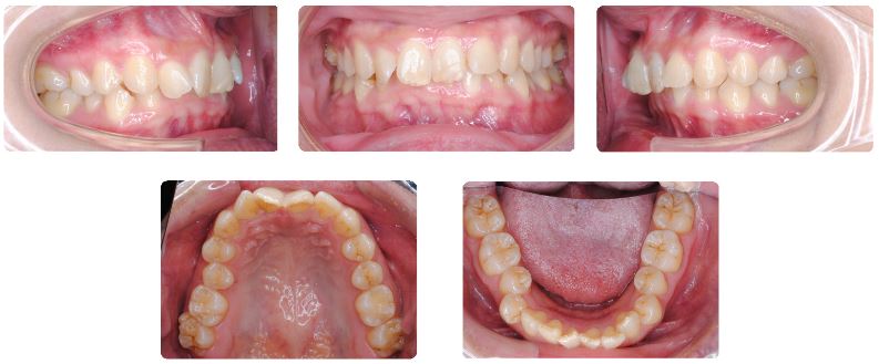
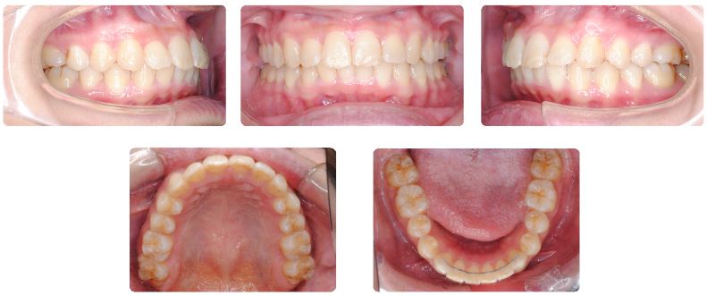
過蓋咬合 (前歯の噛み合わせが深く咬合力が強い 30代)

主訴:前歯の見た目が気になる

初診時年齢:32歳

性別:女性

診断名:過蓋咬合

抜歯/非抜歯:非抜歯

装置名:マルチブラケット装置

治療費用:約62万円(税抜)と来院時に調節料5,000円(税抜)

治療期間:1年11ヶ月

治療に関する副作用/リスク:歯の移動時の痛み  装置による口腔粘膜の口内炎

 

前歯の歯並びが気になっているとのことで来院です。

歯並びの捻じれ具合はそれほど大きくはないのですが、下あごの前歯が隠れて見えないほど前歯の噛み合わせが深いが特徴です。

 

このような症例では咬合力がとても強い場合が多く、歯がなかなか動いてくれないこともあります。

 

治療期間は1年10か月で非抜歯にて治療を行ないました。

固定式装置での治療で最初の半年間は上あごの歯列幅の拡大も同時に行いました。

 

治療の終盤では主に正中(上下前歯の真ん中)合わせを行ない、ほぼ真ん中が揃ったところで動的処置を終了しました。

2026年 4月
SUNMONTUEWEDTHUFRISAT
29休診日
30
31
1休診日
2
3
4
5休診日
6
7
8休診日
9
10
11
12休診日
13
14
15休診日
16
17
18
19休診日
20
21
22休診日
23
24
25
26休診日
27
28
29休診日
30
1
2
2026年 5月
SUNMONTUEWEDTHUFRISAT
26休診日
27
28
29休診日
30
1
2
3休診日
4
5
6休診日
7
8
9
10休診日
11
12
13休診日
14
15
16
17休診日
18
19
20休診日
21
22
23
24休診日
25
26
27休診日
28
29
30
31休診日
1
2
3休診日
4
5
6

診療日

休診日

午後休診

その他

診療日