主訴:上下顎の前歯の歯並びが気になる
初診時年齢:61歳
性別:女性
診断名:叢生
抜歯/非抜歯:非抜歯
装置名:マルチブラケット装置
治療費用:約63万円(税抜)と来院時に調節料5,000円(税抜)
治療期間:1年0ヶ月
治療に関する副作用/リスク:歯の移動時の痛み 装置による口腔粘膜の口内炎
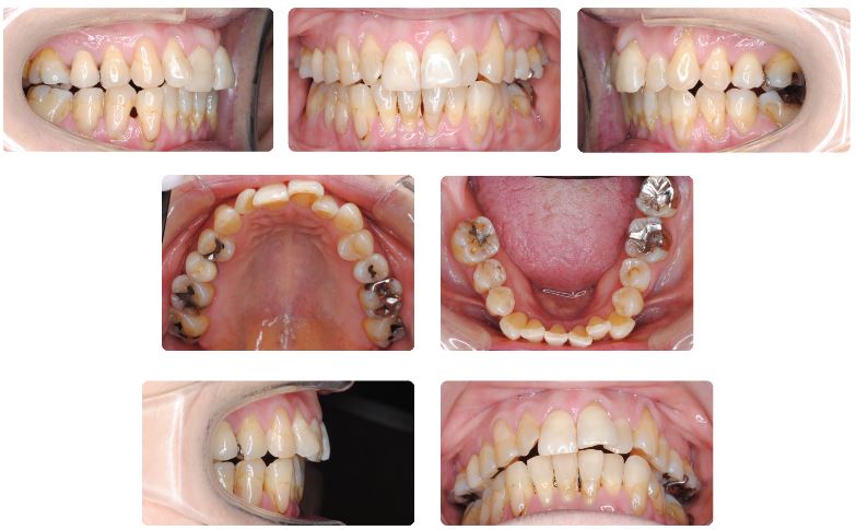
前歯の重なり具合が気になっているということで来院です。
初診時では60代前半で以前はもっときれいに並んでいたとのことですが、歯を支えている歯槽骨の状態の経時的変化もあり上下あごの前歯の重なりがかなり認められる状態でした。
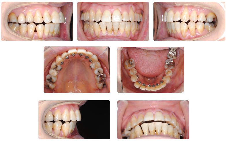
また、噛み合わせが非常に不安定な状態でしたので本来は臼歯も含めた治療が望ましいのですが、やはりご本人様のご意向を尊重して部分矯正での舌側矯正治療を選択いたしました。

治療期間は裏側のワイヤーでの動的処置がほぼ1年でした。
上下顎ともに左右犬歯後方の第一小臼歯まで装置を装着しました。
前歯のみの治療といっても反作用の影響で若干臼歯が動きますので極力噛み合わせが大きく変化しないように心がけました。

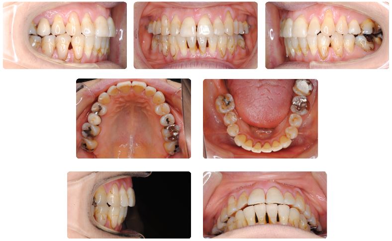
保定期間中に下あご左側の最後臼歯の咬合調整をおこなったところで、噛み合わせがかなり改善しました。



