主訴:上あごの前歯が出ているが気になる 口を閉じにくい
初診時年齢:10歳
性別:女性
診断名:上顎前突
抜歯/非抜歯:抜歯(上顎のみ)
装置名:マルチブラケット装置
治療費用:約68万円(税抜)と来院時に調節料3,000/5,000円(税抜)
治療期間:4年7ヶ月
治療に関する副作用/リスク:歯の移動時の痛み 装置による口腔粘膜の口内炎
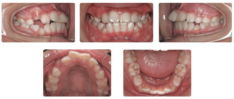
混合歯列期からの治療です。正面は斜めからの画像ではわかりにくいのですが上あごの前歯がかなり唇側に傾斜している状態です。さらに上顎左側の小臼歯の埋伏も伴っていました。
このような歯並びの原因の一つに口呼吸が上げられます。
口呼吸が舌の機能にも影響を及ぼし、結果として現状の歯並びに至っているということです。

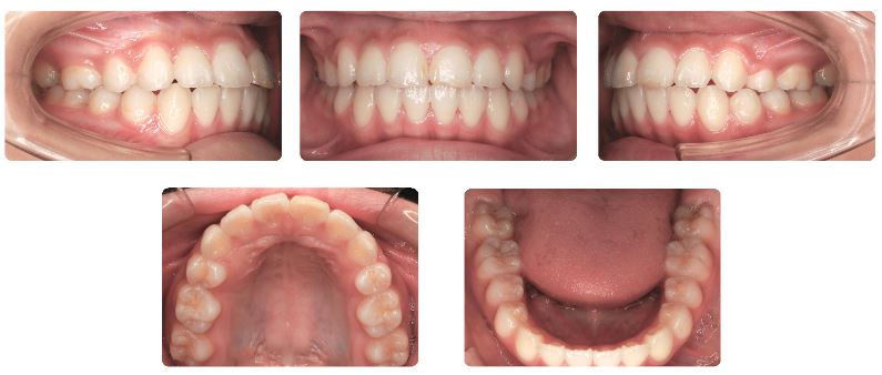
混合歯列期では取外し式の装置を使用しながらMFTという舌などの機能トレーニングを併用しました。
永久歯への交換が進んだところでワイヤーによる本格矯正治療を開始しております。
上あごの左右小臼歯抜歯で前歯の前方への傾斜の改善を図りました。
下あごは非抜歯で治療を進めました。



