主訴:前歯の見た目が気になる
初診時年齢:57歳
性別:女性
診断名:舌癖と舌小帯強直を伴う反対咬合
抜歯/非抜歯:非抜歯
装置名:マルチブラケット装置
治療費用:約62万円(税抜)と来院時に調節料5,000円(税抜)
治療期間:1年2ヶ月
治療に関する副作用/リスク:歯の移動時の痛み 装置による口腔粘膜の口内炎 歯肉退縮
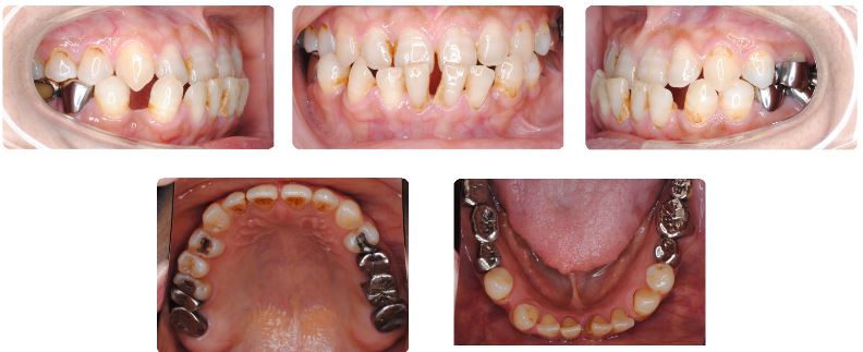
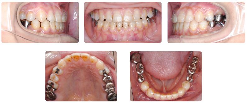
前歯の噛み合わせを長年気にしていたとのことで来院です。
50代後半のご年齢ですが、歯周組織の状態が非常に良好ですのですぐに治療開始いたしました。


治療期間は1年2か月でした。
下あご歯列のみで固定式装置で治療をすすめていましたが、前歯が乗り越える際に上下顎前歯の切端が強くぶつかって痛いとのことでしたので、上あごにも固定式装置を装着しました。
咬合力が非常に強いため、前歯が乗り越える前後の治療期間には夜間のみ上あごにマウスピースを使用していただきました。




