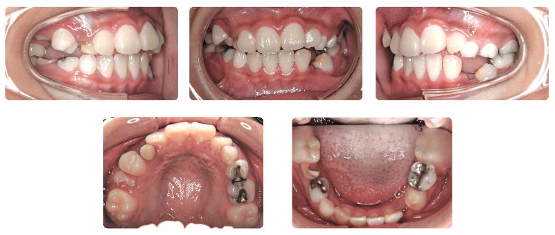
主訴:前歯の歯並びが気になる
初診時年齢:10歳
性別:女性
診断名:舌癖を伴う切端咬合
抜歯/非抜歯:非抜歯
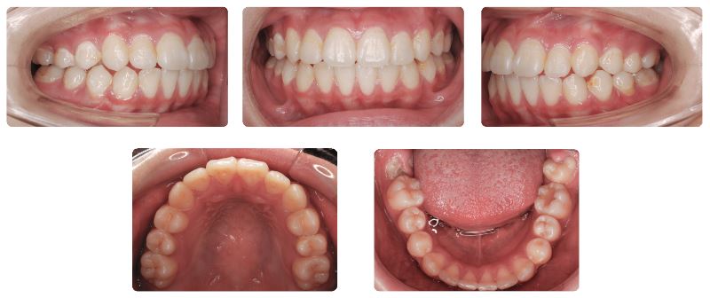
装置名:可撤式装置 → マルチブラケット装置
治療費用:約65万円(税抜)と来院時に調節料3,000/5,000円(税抜)
治療期間:4年2ヶ月
治療に関する副作用/リスク:歯の移動時の痛み 装置による口腔粘膜の口内炎 カリエス
混合歯列期からの治療です。
タングスラストという舌を前に押し出す癖が強く歯並びに強く影響しています。
また下あごの後退も認められました。

舌の機能トレーニングを併用しながら取外し式の装置からの治療スタートです。
下あごを前方に出す機能的装置も使っています。
永久歯がほぼ生えそろったところで本格矯正治療をスタートしました。
装置を外した直後は最後臼歯(第二大臼歯)がまだ生えてきていませんでしたが、保定観察をしながらきちんと咬合した状態を見届けてから終了しました。



