主訴:上顎前歯の前突を治したい
初診時年齢:63歳
性別:女性
診断名:叢生
抜歯/非抜歯:非抜歯
装置名:マルチブラケット装置
治療費用:約65万円(税抜)と来院時に調節料5,000円(税抜)
治療期間:2年1ヶ月
治療に関する副作用/リスク:歯の移動時の痛み 歯槽骨吸収 歯肉退縮
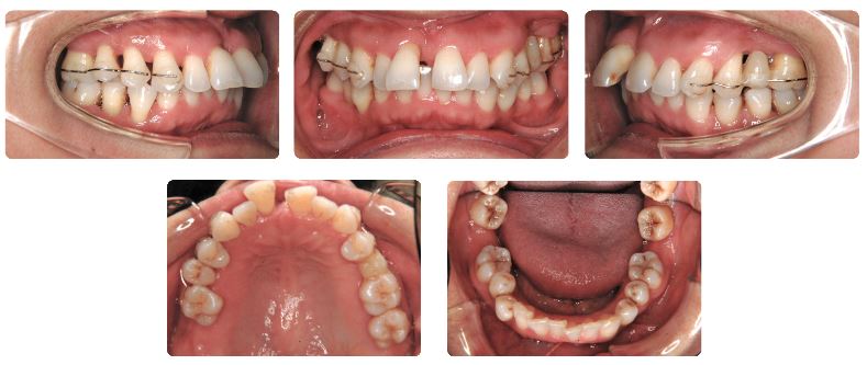
高齢者の方の矯正治療です。主訴は前歯を引っ込めたいとのことです。
歯周病の治療が一段落して歯周組織が比較的安定してきましたので、次に以前から気になっていた前歯の歯並びを治したいとのことでした。

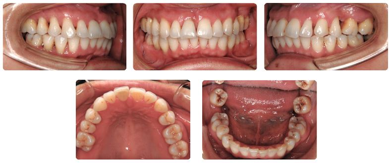
治療期間は2年1か月でした。
矯正治療開始時は、ほとんどの歯が動揺している状態でしたが治療が進むにつれ、骨がついてきたようで歯の動揺も少なくなっていきました。
このような状態でしたので治療は一貫して非常に弱い力を持続的にかけるように心がけました。



