Collection of cases Collection of cases

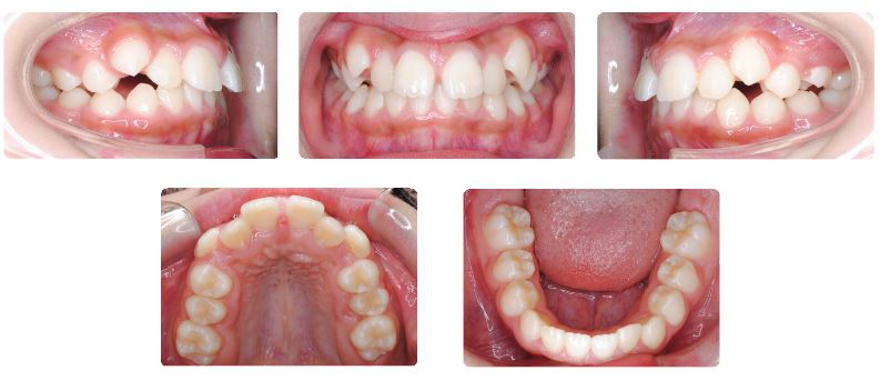
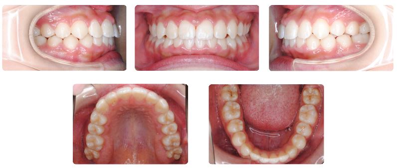
八重歯 (歯が重なり合っている状態 10代前半)

主訴:前歯の歯並び、特に上顎の犬歯の位置が気になる

初診時年齢:11歳

性別:女性

診断名:叢生

抜歯/非抜歯:非抜歯

装置名:マルチブラケット装置

治療費用:約62万円(税抜)と来院時に調節料5,000円(税抜)

治療期間:2年4ヶ月

治療に関する副作用/リスク:歯の移動時の痛み  装置による口腔粘膜の口内炎  カリエス

 

上あごの左右犬歯の位置が気になるとのことでご来院されました。

 

上あごの歯列の幅が狭いため、裏側に拡大装置を装着して広げながら前歯が並ぶスペースを確保していきます。

上あごの12才臼歯である第二大臼歯が生えてくるまで時間がかかったこと、上あごの奥行きがやや足りないため生え始めた際に頬側に向かい交叉咬合になってしまい、この噛み合わせの改善のために2年4か月を要しました。

2026年 4月
SUNMONTUEWEDTHUFRISAT
29休診日
30
31
1休診日
2
3
4
5休診日
6
7
8休診日
9
10
11
12休診日
13
14
15休診日
16
17
18
19休診日
20
21
22休診日
23
24
25
26休診日
27
28
29休診日
30
1
2
2026年 5月
SUNMONTUEWEDTHUFRISAT
26休診日
27
28
29休診日
30
1
2
3休診日
4
5
6休診日
7
8
9
10休診日
11
12
13休診日
14
15
16
17休診日
18
19
20休診日
21
22
23
24休診日
25
26
27休診日
28
29
30
31休診日
1
2
3休診日
4
5
6

診療日

休診日

午後休診

その他

診療日