主訴:前歯の見た目が気になる
初診時年齢:20歳
性別:女性
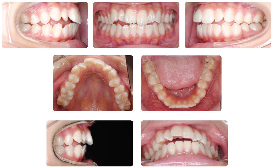
診断名:舌癖を伴う歯槽性開咬
抜歯/非抜歯:非抜歯
装置名:マルチブラケット装置
治療費用:約65万円(税別)と来院時に調節料5,000円(税別)
治療期間:1年4ヶ月
治療に関する副作用/リスク:歯の後戻り 装置による口腔粘膜の口内炎
前歯の歯並びが気になることと前歯でものが噛めないとのことで来院されました。
舌癖が強く嚥下時にも舌を突き出す動作が確認されました。
そこで通常の矯正治療に併せましてMFT(筋機能療法)による舌の正常な動作のトレーニングを強化することになりました。

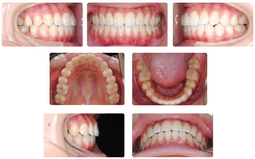
治療期間は1年4ヶ月でした。
治療開始から1年経過した時点でかみ合わせはほぼ良好な状態になってきましたが、舌の動きや挙上がまだ不十分と思われましたのでMFT(筋機能療法)をさらに強化しました。
それから2ヶ月もするとようやく舌も自然と挙上できるようになったので装置の除去する時期を検討しました。
現在上下顎の装置を除去してから1年ほど経過しておりますが、ほとんど後戻りもなく良好なかみ合わせが保たれています。



