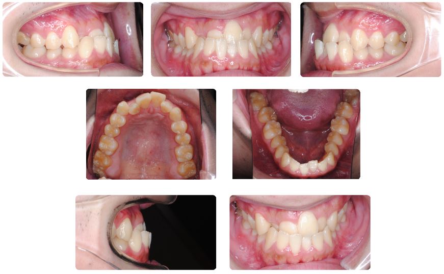
主訴:前歯で噛めない、前歯の歯並びが気になる
初診時年齢:26歳
性別:男性
診断名:反対咬合(歯槽性と骨格性の中間)
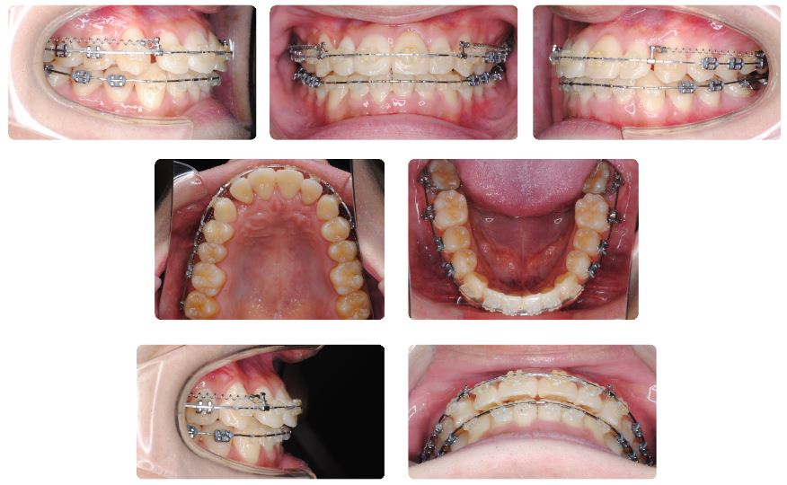
抜歯/非抜歯:非抜歯
装置名:マルチブラケット装置
治療費用:約65万円(税抜)と来院時に調節料5,000円(税抜)
治療期間:2年5ヶ月
治療に関する副作用/リスク:歯の移動時の痛み カリエス 歯肉退縮
前歯の歯並びが反対とのことが気になることで来院されました。


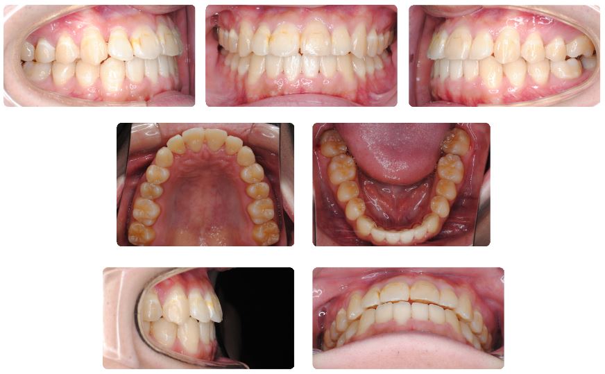
治療期間は2年5か月でした。
前歯のかみ合わせは8か月ほどで改善できたのですが、その際に生じた上顎のスペースを閉じながら上下顎のかみ合わせをしっかりと確立することに時間を費やしました。その治療と併用して舌挙上トレーニングも行ないました。


