主訴:前歯のかみ合わせが反対なのが気になる
初診時年齢:11歳
性別:女性
診断名:上顎骨劣成長にともなう前歯部の反対咬合
抜歯/非抜歯:非抜歯
装置名:マルチブラケット装置
治療費用:約77万円(税抜)と来院時に調節料5,500円(税抜)
治療期間:3年0ヶ月
治療に関する副作用/リスク:歯根吸収 歯肉炎 歯肉退縮
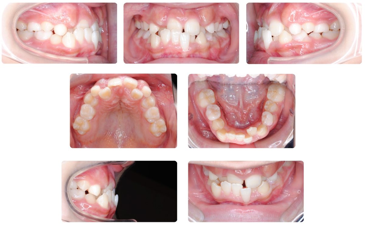
前歯の噛み合わせが反対なことと歯並びの乱れが気になって来院されました。初診時には下あごが相対的に前方にでており、特に上顎前歯の萌出スペースが足りない状態です。下あごの前歯歯肉の一部に歯肉が下がった退縮がみられます。

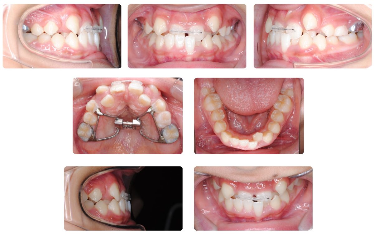
混合歯列期での治療スタートですので小臼歯などの抜歯の判断は保留にして、まず上顎歯列幅の拡大を行いました。上あごの左右犬歯も萌えてきて前歯のが生えるスペースが全く足りない状態です。下記の画像は拡大終了時です。

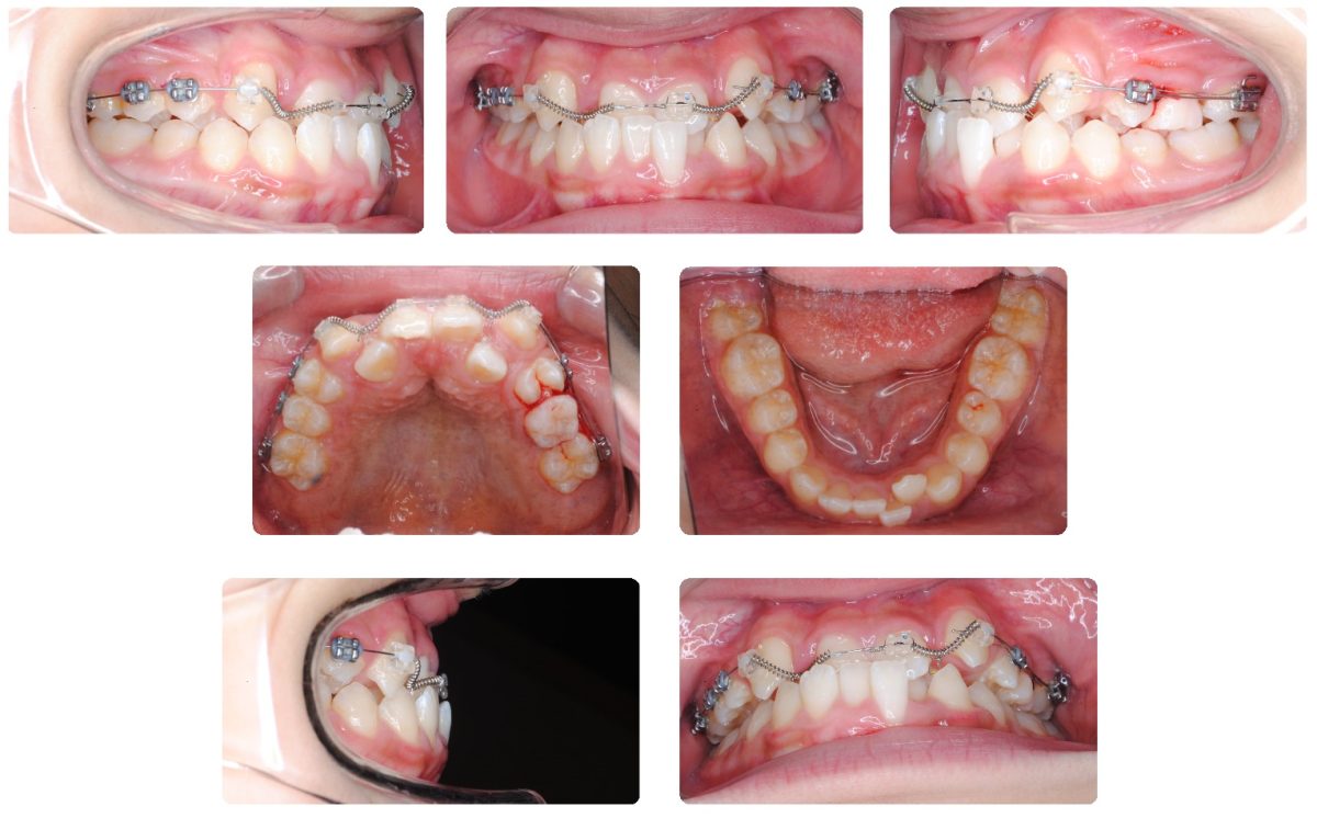
上あごの幅を拡大した後に上あごにマルチブラケットによる装置で少しずつスペースをつくりながら個々の歯の牽引を行いました。

上記画像のマルチブラケットによる治療スタートから10カ月後です。

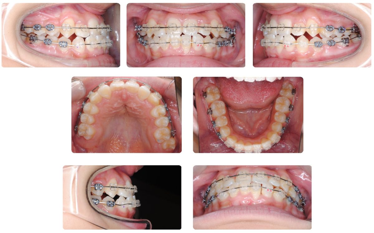
さらに12カ月後です。マルチブラケットによる治療から1年10カ月経過しています。

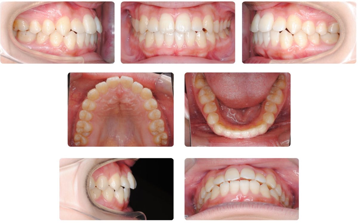
治療開始から3年経過、マルチブラケットによる治療から2年3カ月経過しています。

保定開始から3年経過した状態です。咬合状態も安定しております。



