Collection of cases Collection of cases

口が閉じにくいので口元を引っ込めたい 20代半ば

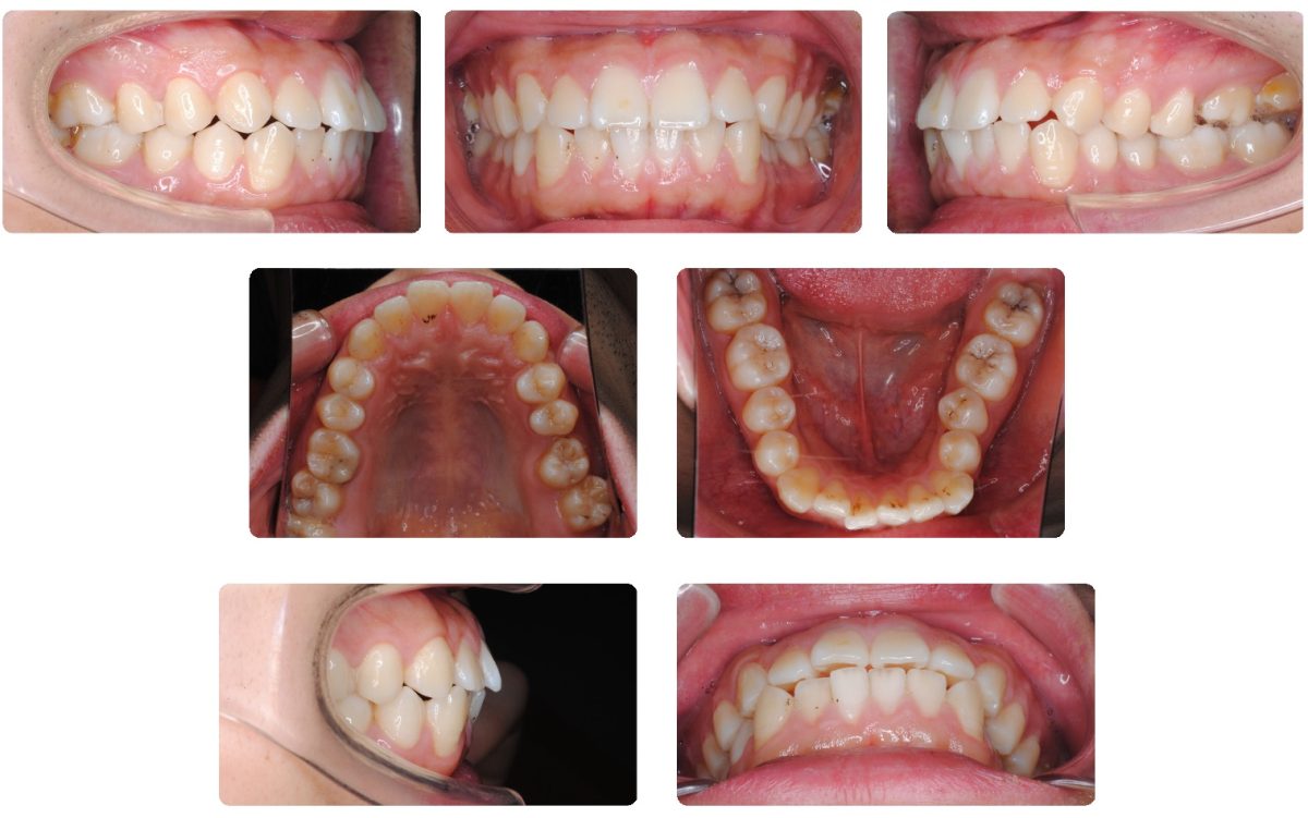
主訴:口元を引っ込めたい

初診時年齢:25 歳

性別:男性

診断名:上下顎前突

抜歯/非抜歯:上下顎小臼歯抜歯

装置名:上下顎マルチブラケット装置

治療費用:約82.5 万円(税込)と来院時に調節料5,500円(税込)

治療期間:2年6ヶ月

治療に関する副作用/リスク:歯の移動時の痛み  装置による口腔粘膜の口内炎 カリエス 知覚過敏

口元が出ていて口が閉じにくいことで来院されました。上顎小臼歯抜歯による治療を選択しました。

上下顎ともに叢生(歯並びの乱れ)がほとんどないため、抜歯スペースを最大限利用して口元を下げていく予定です

治療半ばから治療効率を上げるために上顎右側にアンカースクリューを埋入しました。

動的治療期間は2年6カ月でした。

治療後は口元がかなり下がったため口が楽に閉じれるようになったととても喜ばれました。

 

 

 

2026年 4月
SUNMONTUEWEDTHUFRISAT
29休診日
30
31
1休診日
2
3
4
5休診日
6
7
8休診日
9
10
11
12休診日
13
14
15休診日
16
17
18
19休診日
20
21
22休診日
23
24
25
26休診日
27
28
29休診日
30
1
2
2026年 5月
SUNMONTUEWEDTHUFRISAT
26休診日
27
28
29休診日
30
1
2
3休診日
4
5
6休診日
7
8
9
10休診日
11
12
13休診日
14
15
16
17休診日
18
19
20休診日
21
22
23
24休診日
25
26
27休診日
28
29
30
31休診日
1
2
3休診日
4
5
6

診療日

休診日

午後休診

その他

診療日