主訴:上顎前歯をひっこめたい
初診時年齢:21歳
性別:女性
診断名:上顎前突
抜歯/非抜歯:抜歯
装置名:上下顎マルチブラケット装置
治療費用:約105万円(税込)と来院時に調節料8,800円(税込)
治療期間:1年11ヶ月
治療に関する副作用/リスク:歯の移動時の痛み 装置による口腔粘膜の口内炎 カリエス 知覚過敏
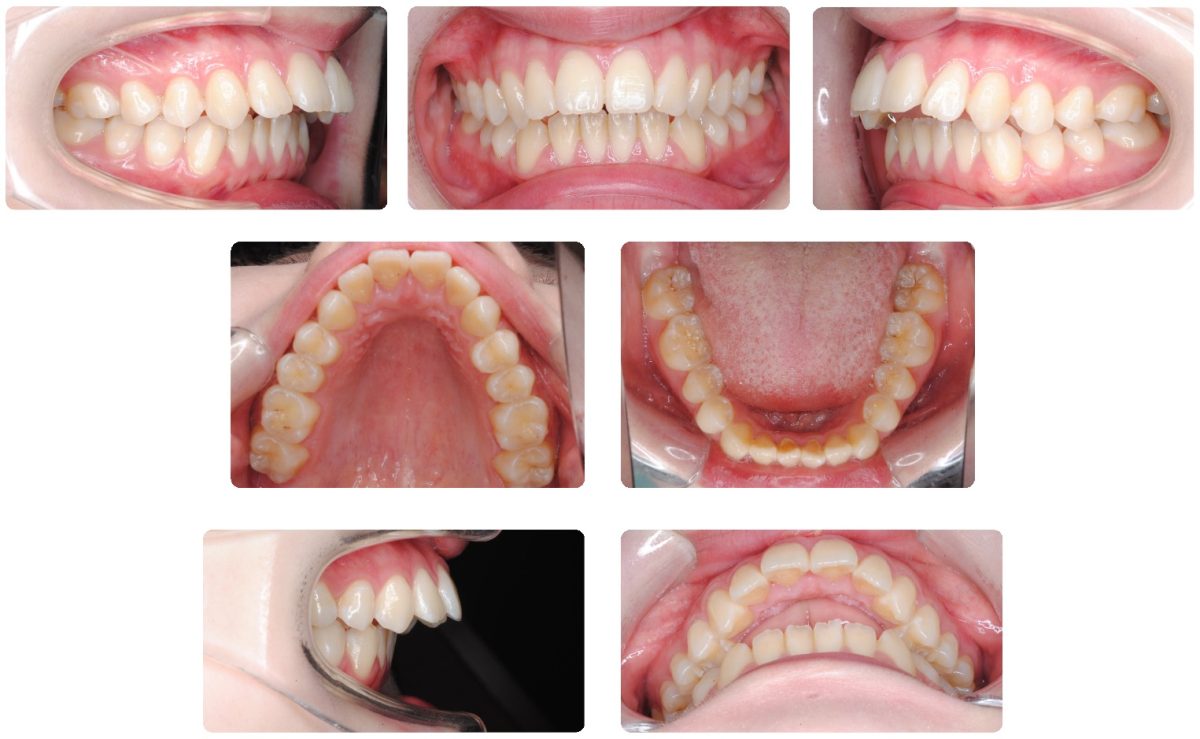
上顎前歯が出ていることと前歯でものが噛めないことで来院されました。下顎の後退感が若干認められるものの上顎小臼歯抜歯による治療を選択しました。

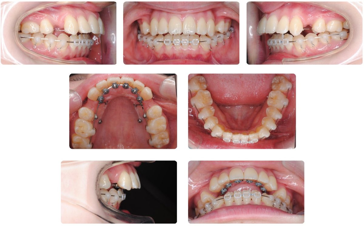
治療開始から7カ月で上顎前歯を後方に移動開始しました。装置に関しましては上顎を裏側、下顎は表側のハーフリンガルという方法で治療を開始しております。

裏側矯正装置といいましても裏側のみで矯正治療を行うことは困難で、写真の上顎のように裏側装置での治療でも表側の歯の表面に装置を装着することは結構あります。

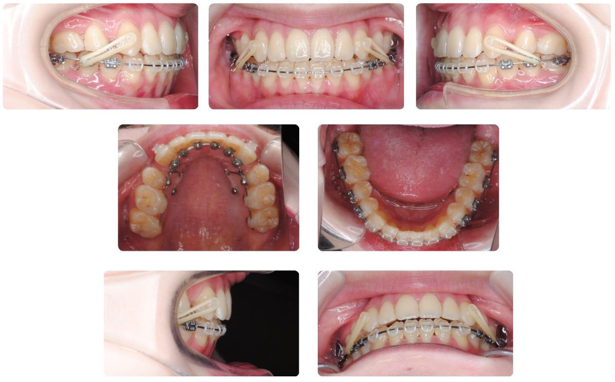
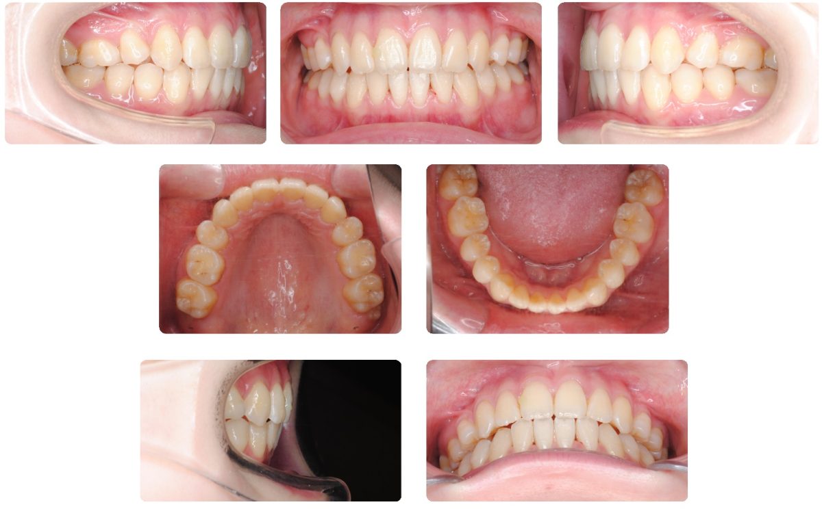
動的治療期間は1年11カ月でした。



