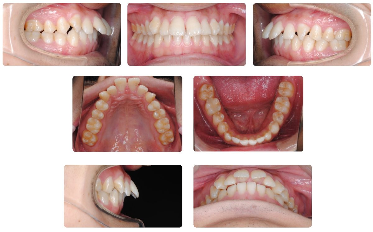
主訴:上顎前歯をひっこめたい 犬歯の捻じれを治したい
初診時年齢:20歳
性別:男性
診断名:上顎前突
抜歯/非抜歯:非抜歯
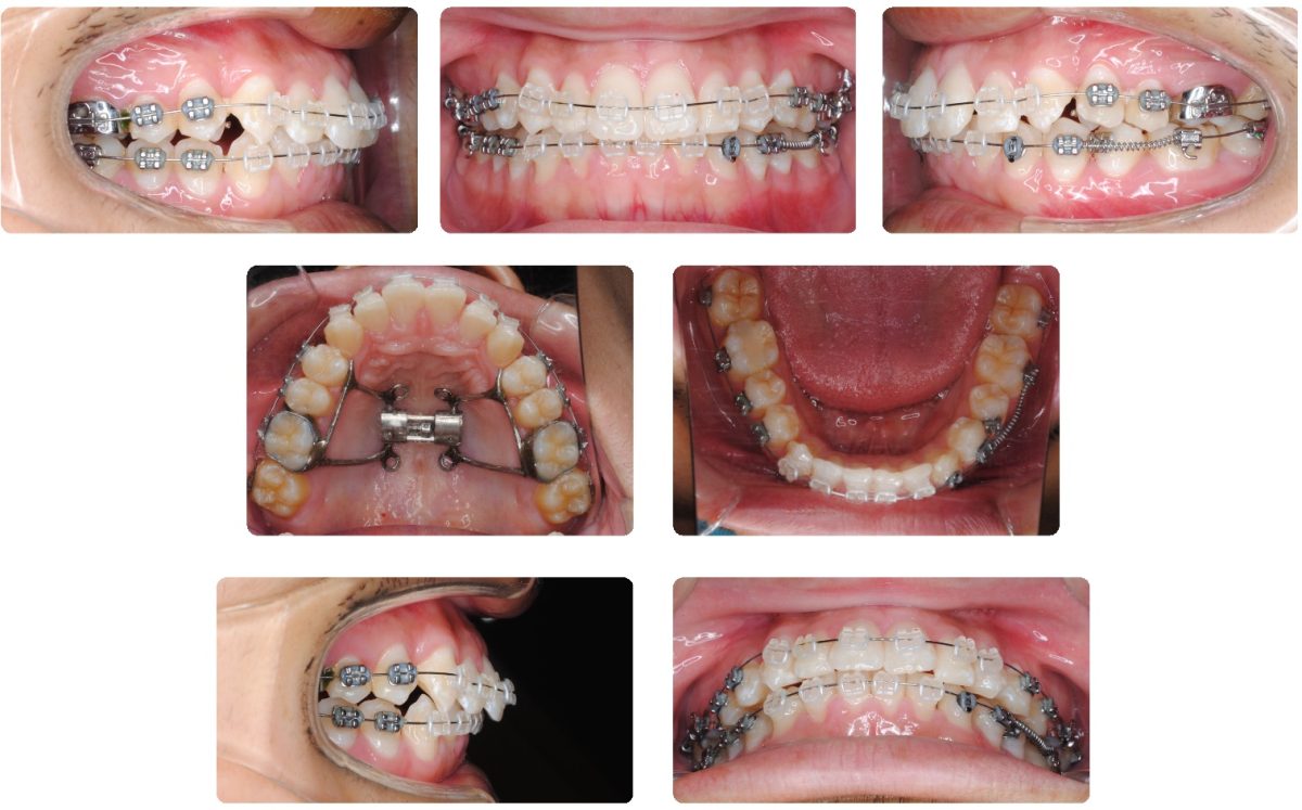
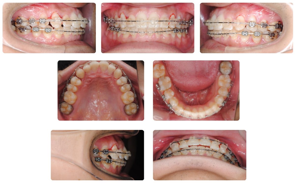
装置名:上下顎マルチブラケット装置
治療費用:約77万円(税込)と来院時に調節料5,500円(税込)
治療期間:2年7ヶ月
治療に関する副作用/リスク:歯の移動時の痛み 装置による口腔粘膜の口内炎 カリエス 知覚過敏
上あご前歯を後ろにひっこめたい、上顎犬歯のねじれを治したいとのことで来院されました。臼歯のかみ合わせは左右差があり若干下顎が右側に偏位しております。当初は小臼歯抜歯も検討したのですが、舌が大きいことから下顎歯列弓を狭くしたくないため、小臼歯非抜歯による治療を行うことにしました。

非抜歯で行うには上顎歯列の側方拡大が必要になりますが、実は成人では歯列拡大自体が困難な場合が多いのです。今回は対象年齢が比較的若いこともあり装置には固定式急速拡大装置を選びました。上下顎ともマルチブラケットを装着して同時に上顎の歯列側方拡大をスタートしました。

歯の捻じれは非常に後戻りしやすいため、捻じれの大きい上顎左右犬歯はセクトトミー(歯周靭帯切除術)をおこないました。

動的治療期間は2年7カ月でした。



