Collection of cases Collection of cases

治療終了後にかみ合わせがずれてきた  10代後半 

主訴:再治療希望:治療終了後に咬み合わせがずれてきた

初診時年齢:19歳

性別:女性

診断名:再治療:下顎の側方偏位

抜歯/非抜歯:非抜歯

装置名:マルチブラケット装置

治療費用:約165,000円(税抜)と来院時に調節料5,500円(税抜)

再治療期間:1年0ヶ月

治療に関する副作用/リスク:歯の移動時の痛み  装置による口腔粘膜の口内炎

 

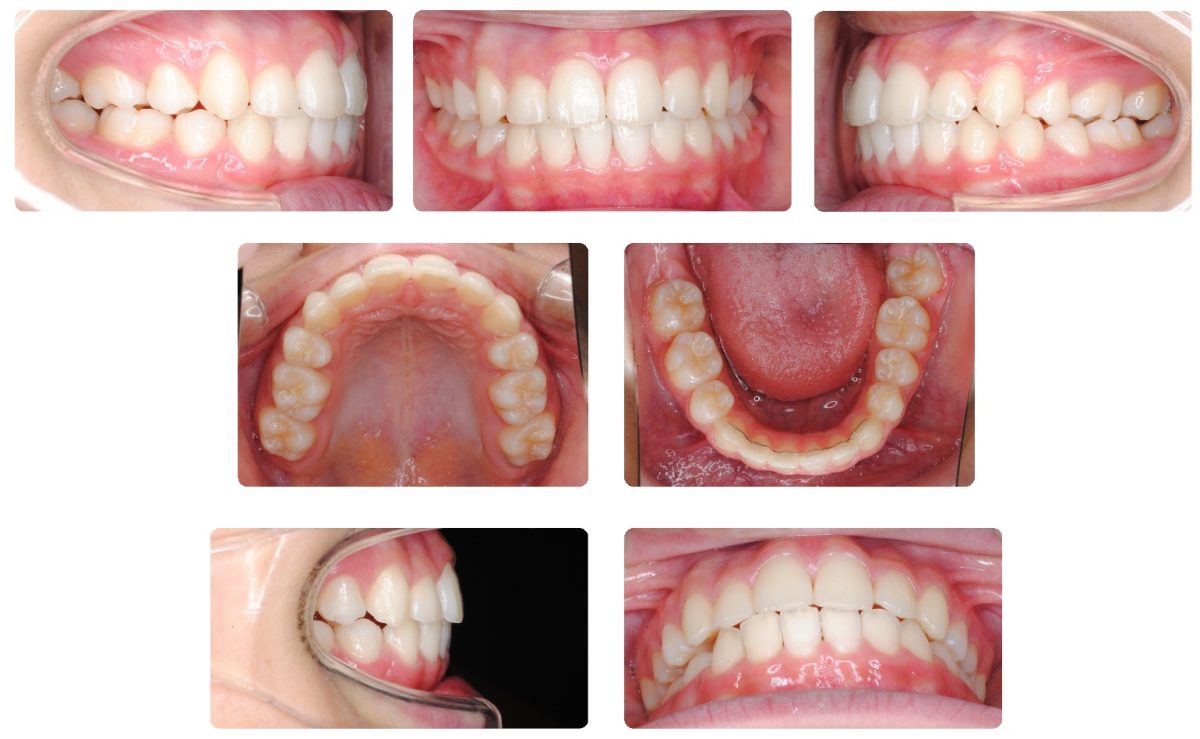
当院での保定期間が終了して最終来院時から4年が経過した時点で来院されました。もともと下顎の左側偏位が顕著な症例だったのですが永久歯列で小臼歯抜歯にて動的治療を終了しております。下記の写真は最初の保定開始時点です。

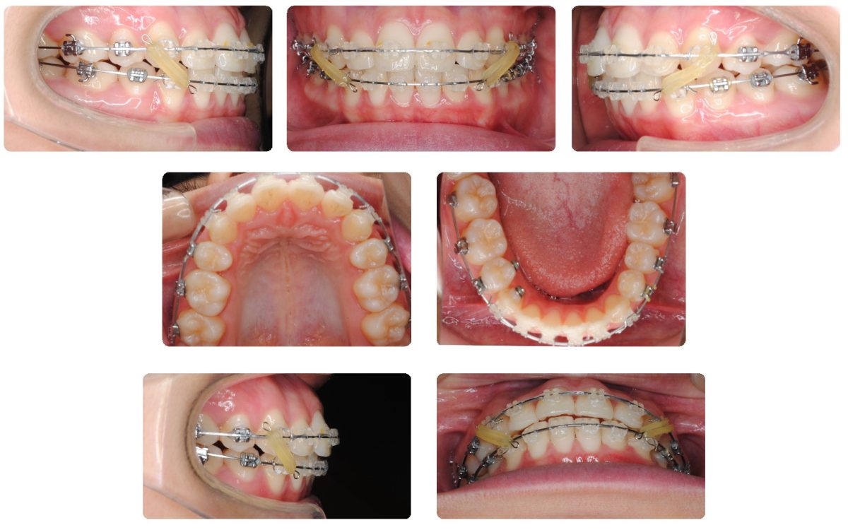
保定期間終了して4年が経過した時点の状況です。下顎が大きく左側に引っ張られるように偏位していますので治療は再びマルチブラケットによる治療となりました。

再治療開始時です。上下顎に再度マルチブラケット装置を装着しました。

治療開始から10カ月後です。舌癖の影響も大きいためMFTと顎間エラスティックをしっかりと

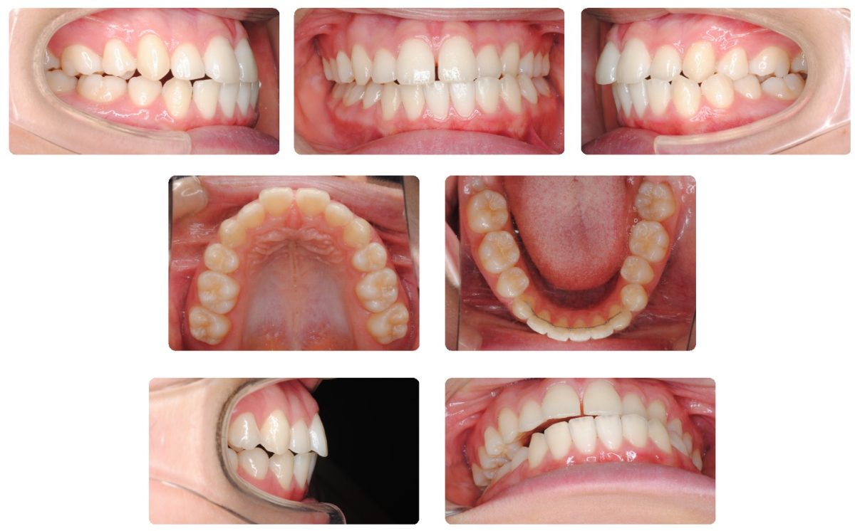
動的治療期間は12カ月でした。保定期間中もMFTはしっかりと継続していただいております。

2026年 4月
SUNMONTUEWEDTHUFRISAT
29休診日
30
31
1休診日
2
3
4
5休診日
6
7
8休診日
9
10
11
12休診日
13
14
15休診日
16
17
18
19休診日
20
21
22休診日
23
24
25
26休診日
27
28
29休診日
30
1
2
2026年 5月
SUNMONTUEWEDTHUFRISAT
26休診日
27
28
29休診日
30
1
2
3休診日
4
5
6休診日
7
8
9
10休診日
11
12
13休診日
14
15
16
17休診日
18
19
20休診日
21
22
23
24休診日
25
26
27休診日
28
29
30
31休診日
1
2
3休診日
4
5
6

診療日

休診日

午後休診

その他

診療日