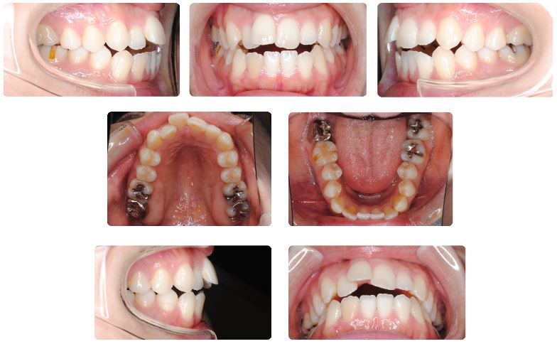
主訴:前歯でものが噛めなく見た目が気になる
初診時年齢:34歳
性別:女性
診断名:歯槽性開咬
抜歯/非抜歯:非抜歯
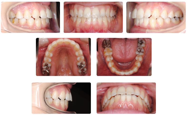
装置名:マルチブラケット装置
治療費用:約63万円(税抜)と来院時に調節料5,000円(税抜)
治療期間:1年3ヶ月
治療に関する副作用/リスク:歯の後戻り 装置による口腔粘膜の口内炎
15年ほど前に他院で矯正治療を一度受けていますが、当院にて再治療希望で来院されました。
舌癖により前歯の開咬状態が再発しており、矯正治療以上に治療後に咬みあわせが安定するようにMFT(舌などのトレーニング)が必須の症例です。
上下の歯列をよく見てみますと共に歯列の幅が狭くなっています。
これは舌体が下顎歯列の中に常時納まったままの低位舌という状態の影響です。

治療期間は1年3ヶ月でした。
再治療ですので、前歯部開咬の再発防止のためMFTによる舌の挙上トレーニングを徹底して、前歯の咬みあわせを深めに仕上げたうえで咬み合わせが安定したところで動的処置を終えました。



