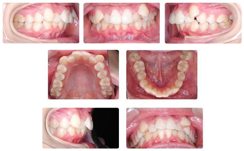
主訴:前歯の見た目が気になる
初診時年齢:17歳
性別:女性
診断名:叢生
抜歯/非抜歯:抜歯(上顎のみ)
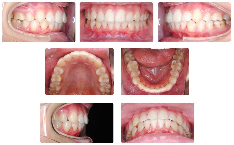
装置名:マルチブラケット装置
治療費用:約65万円(税抜)と来院時に調節料5,000円(税抜)
治療期間:1年2ヶ月
治療に関する副作用/リスク:歯の移動時の痛み 装置による口腔粘膜の口内炎
八重歯と口元の左側口角の膨らみが気になることで来院されました。
口元の出具合を考慮して上あごは左右小臼歯抜歯、下あごは小臼歯非抜歯にて治療をすすめることにしました。

治療期間は1年2か月でした。
全ての症例に当てはまるわけではないのですが、前歯の歯並びの重なり具合が大きいほうが比較的早く歯並びが整ってきます。
歯を並べる動的処置期間の後にリテーナー(保定装置)を使用していただくのですが、3~6か月に一度来院していただいております。



