横浜市青葉区 長津田 & 青葉台の長津田アオバ矯正歯科です。
歯並びや咬みあわせの不調和に、舌や口唇そして頬粘膜の力のバランスなどが作用していることを前記事で説明しましたので、さらに今回は呼吸が歯並びにどのように影響を与えるかをお話いたします。
結論から述べますと、歯並びやかみ合わせに大きな影響を与えているのは『口呼吸』です。
とくに口呼吸はやっかいなことに習慣になっていることが多く、鼻呼吸へと自然に改善することは非常に困難です。
ではどのように口呼吸が歯並びに影響を与えるかといいますと、口呼吸をしている状態では必ず『低位舌』という状態になっているからです。

ではなぜ口呼吸をするようになるかといいますと、その原因は単純ではないのですが空気の汚れといった環境、花粉症などのアレルギー性疾患などを含めた鼻づまり、舌小帯の短縮による構造的な舌挙上の困難などが挙げられます。
ちなみに生後すぐの赤ちゃんを観察してみてください。
ちゃんと口を閉じて鼻で呼吸をしています。しかも寝むっている時にちょっと口の中を覗いてみてください。舌が口蓋にしっかりと持ち上がり口蓋に吸いついているのが確認いただけると思います。
舌を挙上するということは鼻呼吸のための必要条件であり、生まれる以前から本来身につけていることなのです。
つまり『舌は呼吸器としての機能している』のです。
それが生後数ヶ月もすると空気の汚れといった環境の影響などもあり口呼吸が始まってしまいます。
低位舌の歯並びへの影響:
① 鼻がつまると口から空気を入れるため本来口蓋に吸い付いていた舌が下がってしまう
② 舌が下がると上顎の歯並びの側方への負荷がなくなり頬粘膜に押されて歯列が狭く深くなる
③ 上あごの幅が狭くなると歯がお互いの前後で押されて歯並びが乱れてくる
④ 口呼吸でいつも口を開けていると口唇閉鎖力がかからず上顎前歯が前突して出っ歯になる
⑤ 舌が下がると下顎の歯列の中に落っこちてほとんど動かさなくなる
⑥ 低位舌でも前方に舌がある場合と後方にある場合があるが、前方だと比較的歯列の幅は広い
⑦ 後方の低位舌だと、舌の側面が臼歯の上に被さって臼歯が内側に倒れてきたり歯が前方へ傾斜する
⑧ 下顎の歯列の幅が狭くなるので側方歯のみならず前歯の乱れが大きくなる
⑨ 歯並びが乱れるだけでなく舌が下がると下顎骨が後方にさがってしまい、かみ合わせも乱れてくる
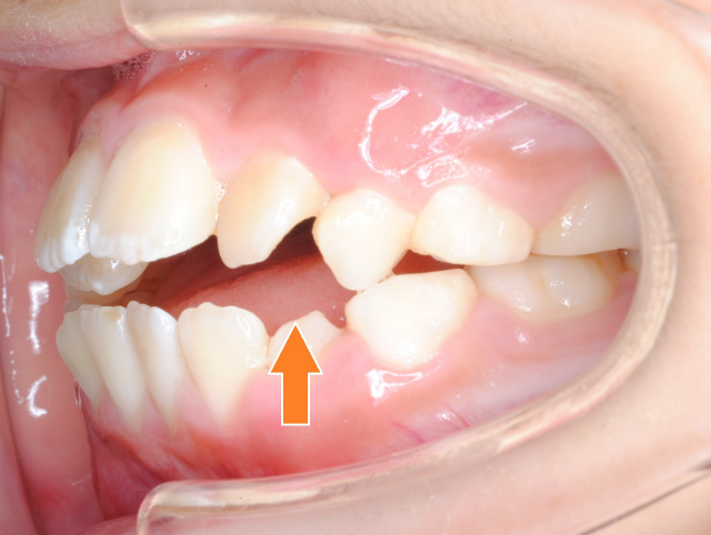
舌が下がると上あごは頬粘膜に押されて幅が狭くなり口蓋が深くなってしまう

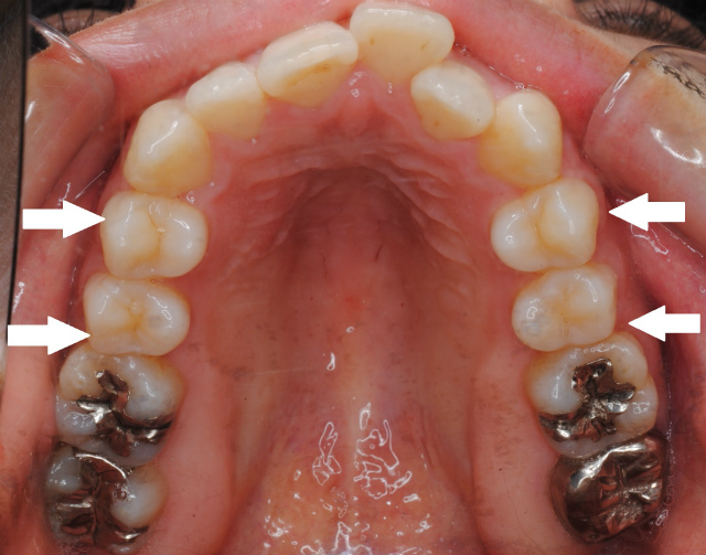
舌の側面が臼歯に被さって歯並びに作用してしまう。左側臼歯が前方に傾斜している様子
低位舌の呼吸への影響:
① 口呼吸で舌が下がってしまうと、舌で塞がれていた喉が開いて直接外気が体内に入る
② 汚れた空気、あるいは冷たい外気などの刺激が直接体内に入り込んでしまうとリンパ組織が反応する
③ 免疫に関わるリンパ組織である咽頭扁桃や口蓋扁桃が腫脹することで気道が狭くなる
④ さらに鼻からの通気が困難になり口呼吸が常習化する
⑤ 舌が下がった状態で間違った嚥下(飲み込み)をすることでさらに歯並びやかみ合わせが崩れる
⑥ 舌が下がったままの状態だと下顎骨が後下方へ回転する。上顎骨も同様に後下方へ。
⑦ 気道がさらに狭くなるので気道確保のため姿勢の悪化に加え、成長発育にも大きく影響を及ぼす
⑧ そのうち無呼吸症候群を引き起こす
⑨ 日中眠くてたまらないだけでは済まず、睡眠障害からうつ症状に至ることもある

一番上の矢印は咽頭扁桃(アデノイド)が腫れている箇所を示している。気道が全域で狭くなっている (8歳男児)

一番上の矢印は咽頭扁桃(アデノイド)が腫れている箇所を示している。下の矢印は口蓋扁桃の腫脹により舌が押されて特に気道が狭くなっている箇所 (10代前半女性)

オトガイの矢印は下顎骨の後方回転を示す。気道が全体で狭くなっている (10代半ば男性)

低位舌と下顎の後方回転により狭くなった成人の気道 (20代後半男性)

低位舌と下顎の後方回転により狭くなった成人の気道 (30代前半女性)
要するに口呼吸していると単なる歯並びの乱れだけでは済まされない、ということです。
矯正治療を受診される方の大半は、前歯の歯並びや口元など明らかに目に見える箇所を気にされて来院されますが、アレルギー性疾患なども含めて鼻づまりや口呼吸とペアであることがほとんどです。
舌の機能や気道の幅が正常であれば、矯正装置が見えない裏側のリンガル装置や昨今広まりつつあるインビザラインなどのマウスピース矯正治療でもまったく構わないと思いますが、初診カウンセリング時ではなく検査時でレントゲン撮影をして気道の狭さに気がつくことも多いのです。
そうであれば、舌挙上や飲み込みなどの機能改善トレーニングを併せた治療が本来必要になってくるのですが、例えば治療中にずっと裏側に矯正装置が装着されていると舌挙上などのトレーニングは非常に困難です。
当院では必要であれば通常の矯正治療だけでなく、呼吸改善を含めた機能向上を図る治療をお勧めしています。
この呼吸改善を併せた歯列矯正治療は未成年までを対象としており成人以降の方には対応していなかったのですが、大人こそ呼吸への対処が必要な場合が数多くみられることから、当院では年齢制限のない新たな治療システムを開発して呼吸改善を念頭に置いた成人を対象とした歯列矯正治療を昨年からスタートしました。
当院での矯正治療が、1人でも多くの方の呼吸や睡眠障害の改善などに貢献できれば幸いでございます。


