横浜市青葉区 長津田 & 青葉台の長津田アオバ矯正歯科です。
歯並びや咬みあわせの不調和を不正咬合といいますが、現状の歯並びの状態にはそれなりの原因があります。
その一つに舌や口唇などの筋力のバランスが歯並びと関係しているということです。
舌の大きさ、形、舌の位置、舌体の裏側にある舌小帯というスジの長短などが歯並びに影響を与えることがあります。
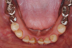
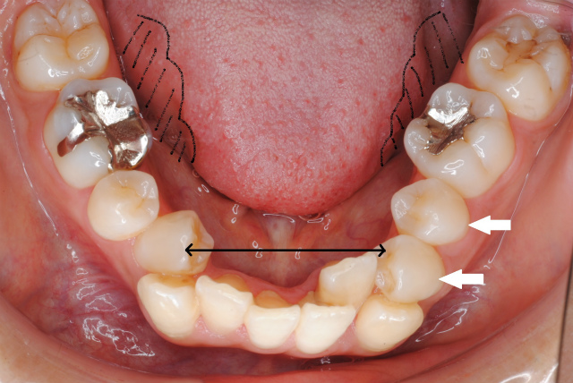
舌体のサイドに歯の痕がくっきりとついている場合は、舌が大きい場合もありますが、下あごの小・大臼歯が内側に倒れて歯列の幅が狭くなっている場合も多いのです。さらには個々の小・大臼歯が上から常に舌に押され続けることで前方に倒されてしまって、前歯にしわ寄せがきて歯並びが乱れることが考えられます。(左下図の白矢印)

さらには、舌体は常時下顎の歯列内に収まったままで殆ど動いていない場合も考えられます。
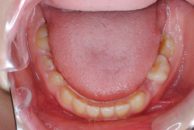
下の写真のように一見歯並びがきれいに並んでいて問題がないように見えますが、舌で前歯を常に押しているから歯並びが整っているに過ぎません。下顎歯列上に舌が覆いかぶさってしまっている様子がおわかりでしょうか。


舌体は上あごの口蓋に軽く吸い付いて挙上しているのが正常な状態です。もちろん上下唇は閉じています。
舌が挙上している状態では口呼吸ができません。つまり舌が持ち上がっていることは鼻呼吸するための必要条件なのです。

ところが舌小帯が短かったりして舌の挙上が常時妨げられている場合、舌はほとんど動かないために下アゴの歯列内に収まったままの状態で、歯の痕がつくだけでなく舌本来の機能をほとんど果たしていません。
そのため、舌の位置と形に添うように個々の歯が動いてきて歯並びが乱れてくることが考えられます。
このような状態の場合には、矯正治療に併せて舌の挙上トレーニングを行うことで、本来の機能を回復をめざします。勿論トレーニングを単独で行うのではなく、矯正治療を進めながらトレーニング効果をしっかりと引き出していくのです。

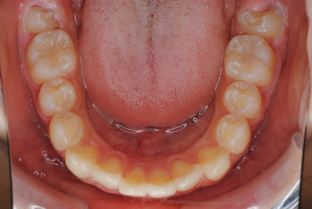
舌がきちんと機能するようになれば、舌側(内側)に倒れていた奥歯がちゃんと頬側に直立して、舌の収まる空間が拡大する、嚥下機能が回復する、発音がしやすくなる、咀嚼効率が上がる、気道が広がる、呼吸が楽になる、歯並びだけでなく上下顎の不調和の改善に多くの成果や効果が見込まれます。
それだけ舌の機能は歯並びと密接に関係しているのですが、上下の口唇や頬粘膜の筋力のバランスも舌同様に歯列の歯並びに影響を与えています。
矯正治療後に保定期間が終わってからも長期にわたって歯並びが安定するということは、これらの軟組織(舌、唇、頬)が新しい環境にバランスよく機能的に調和するようになっているということです。
初診 下顎の歯並びの状態

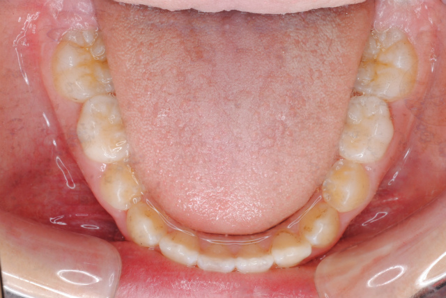
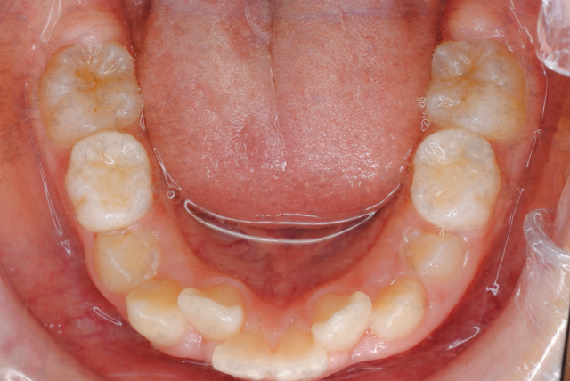
現在 舌挙上のトレーニング中

ただし無理のない歯並びの状態や、歯を支えている歯槽骨の状態も歯並びに大きく影響を与えていることはいうまでもありません。
それでは、今日はこの辺で。
次回は呼吸と舌の関係をもう少し詳しくお話します。


