こんにちは 横浜市青葉区 長津田↔青葉台の長津田アオバ矯正歯科です。
今回はカリエールモーション3Dという装置の紹介です。
どのような装置かといいますと側方歯群を同時に後方に移動させるとても画期的な装置です。
それでは、どんな場合にカリエールモーションを使用するのか症例でご案内いたします。

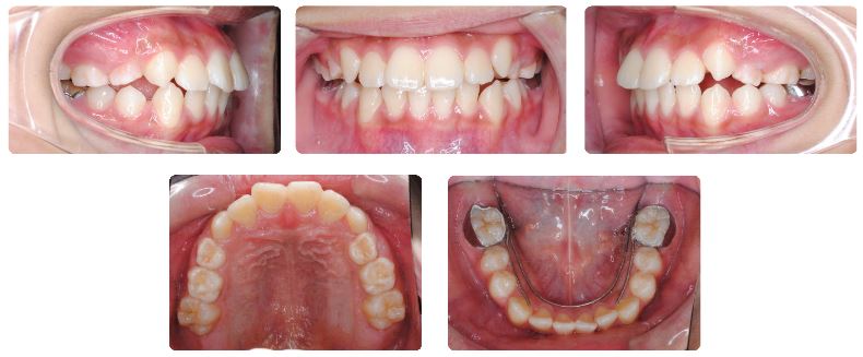
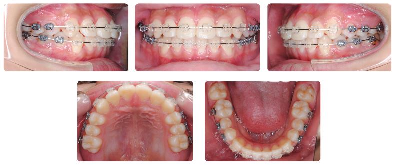
上顎にはまだ乳臼歯が残存していますが犬歯が窮屈そうなのに加えて前歯が若干前突気味です。

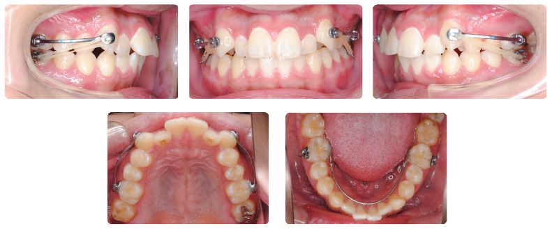
上顎歯列の両側側方歯にカリエールモーション3Dという装置を装着した直後です。
上下顎間には顎間ゴムというエラスティックゴムを終日使用していただきます。

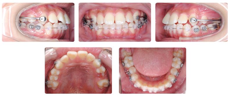
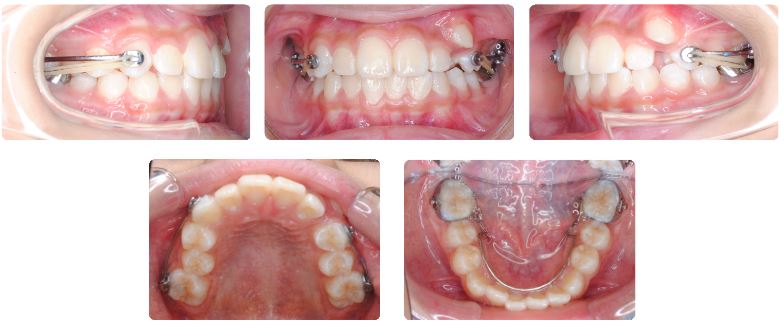
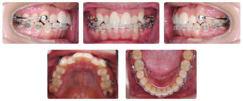
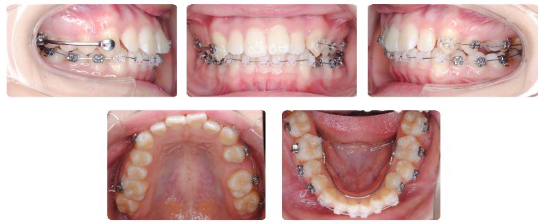
カリエールモーションを使用してから3か月後の状態です。
側方歯が後方に移動したのに加えまして前歯もほぐれ始めています。

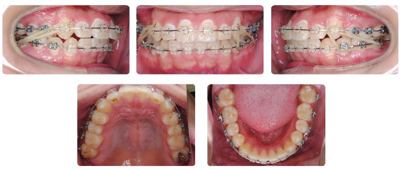
この症例はカリエールモーションを4か月間使用しました。
外してから上顎には個々の歯にブラケットを装着してワイヤーによる矯正治療に移行しています。

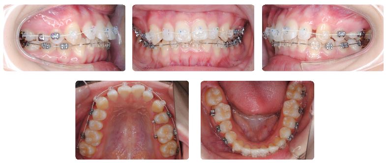
ワイヤーによる歯の排列を始めてから6か月後の状態です。
前歯の前突状態も改善され、あとは最後臼歯である第二大臼歯の萌出を待ちながら経過観察です。
2症例目は上顎左側犬歯の萌出スペースが足りなく八重歯になっている状態です。

また上下顎の前歯のずれも大きめで、この症例の場合は上顎前歯が左側にずれた状態です。

カリエールモーションを装着して2か月目です。
犬歯が少しずつ下りてきています。

カリエールモーションを外した直後です。使用期間は5か月でした。
多少の歯並びが重なった状態で次回にブラケットを装着してワイヤーによる治療を開始します。

ワイヤーによる治療を開始して6か月後の状態です。
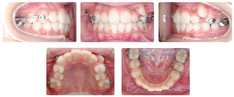
3症例目は成人での使用です。
前歯の重なり具合がやや大きめですが奥行が十分ありますので親しらずを先に抜歯してから治療を進めることにしました。

カリエールモーションを装着した直後です。

カリエールモーション使用開始から5か月後です。
やや動きがゆっくりで10代前半の場合よりも時間を要しています。

カリエールモーションを外した直後の状態です。
使用期間は7か月を要しましたが、この後にワイヤーによる治療に移行しました。

ブラケット装置を装着してから6か月後の状態です。
これからは前歯の咬み合わせを仕上げていきます。
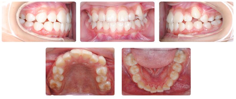
4症例目は片側でカリエールモーションを使用した症例になります。

上顎前歯が左側に傾斜しており下顎前歯の真ん中とずれています。
写真は治療をすでに開始してから3か月経過している状態です。

カリエールモーションを装着してから3か月経過した状態です。
上顎前歯の傾斜が改善されてきています。

上顎にマルチブラケット装置を装着した直後の状態です。これからは少しずつ残りのスペースを閉じながら上下顎前歯の真ん中を合わせていきます。
このようにカリエールモーションを使用する大きなメリットは側方歯を数本同時の移動が可能だということです。
1本ずつ歯を後ろに移動させる場合に比べて、大幅な治療期間の短縮につながることは患者様にとっても大きなメリットになります。
今回は上顎にカリエールモーションを使用した症例をご案内いたしましたので、後日になりますが下顎にカリエールモーションを応用した症例をご案内する予定です


