こんにちは 横浜市青葉区 長津田↔青葉台の長津田アオバ矯正歯科です。
今回は下顎歯列にカリエールモーションを応用した症例をご案内いたします。
下顎の側方歯を後方に移動させるという目的ですのでもっぱら反対咬合(うけ口)に使用します。
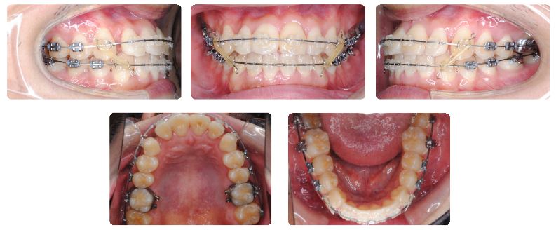
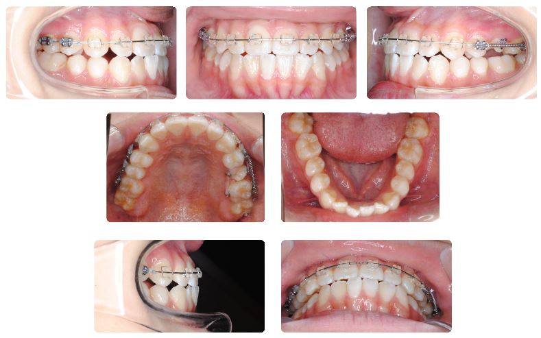
最初の症例は成人男性ですでに前歯の被蓋(前歯の咬み合わせ)はなんとか改善はしておりますが、さらに下顎の側方歯を後方に傾斜させる目的でカリエールモーションを装着することにしました。

下顎用カリエールモーションを装着前の状態です。
上顎前歯が下顎前歯にぶつかり突きあがってしまっている状態です。
このままでは上顎前歯にみられるスペースがなかなか閉じきれないと考えられます。

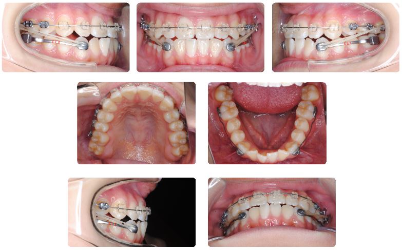
下顎側方歯にカリエールモーションを装着した直後の状態です。

カリエールモーション装着から3か月後です。
上顎前歯にみられるスペースは依然認められますが、上顎前歯の突き上げ感が改善されてきています。
下顎左側のカリエールモーションの後ろが脱離していますが、すぐに再装着しました。

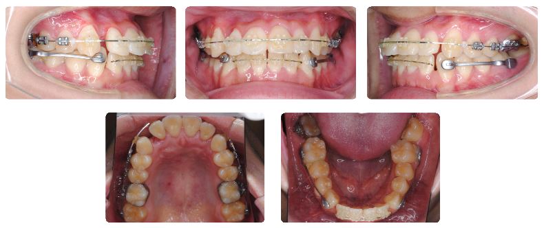
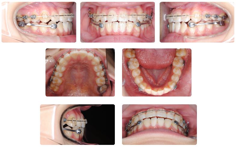
カリエールモーション装着して5か月後の状態です。
上顎は幅径を広げるためにバイパスの拡大装置が装着されています。
下顎にはスペースがみられるようになりました。
現在下顎にマルチブラケット装置を再装着してゴムメタルという素材のワイヤーで治療継続中です。
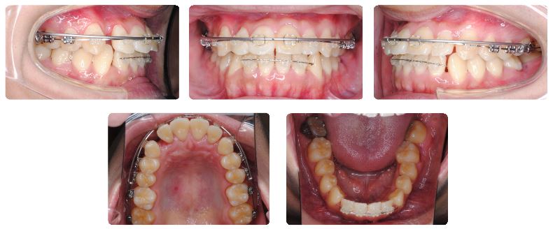
2症例目は10代後半の女性です。

上顎の治療を先行しています。現在上顎左側の小臼歯のねじれを改善している最中です。

上顎の小臼歯のねじれが改善されてワイヤーもしっかりとしたものに交換した時点で、下顎にカリエールモーションを装着しました。

カリエールモーション装着から3か月後の状態です。
下顎前歯にスペースが認められるようになりました。また下顎前歯も内側に入ってきています。

カリエールモーションの使用期間は4か月でした。
カリエールモーションを外してマルチブラケット装置を装着した直後の状態です。
下顎にマルチブラケット装置を装着後4か月後の状態です。
現在ゴムメタルという素材のワイヤーで治療継続中です。
治療期間中で、治療効果をいかに効率よく向上させるためにはどのような適材適所の装置を使うかの判断は非常に難しいのですがとても大切です。
後日、ゴムメタルという材料を扱った治療例もご案内していく予定です。


