こんにちは 横浜市青葉区 長津田 & 青葉台の長津田アオバ矯正歯科です。
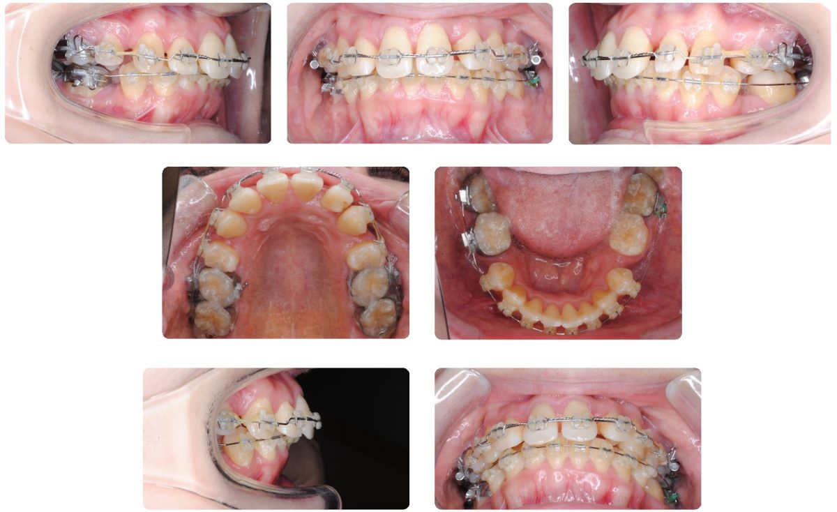
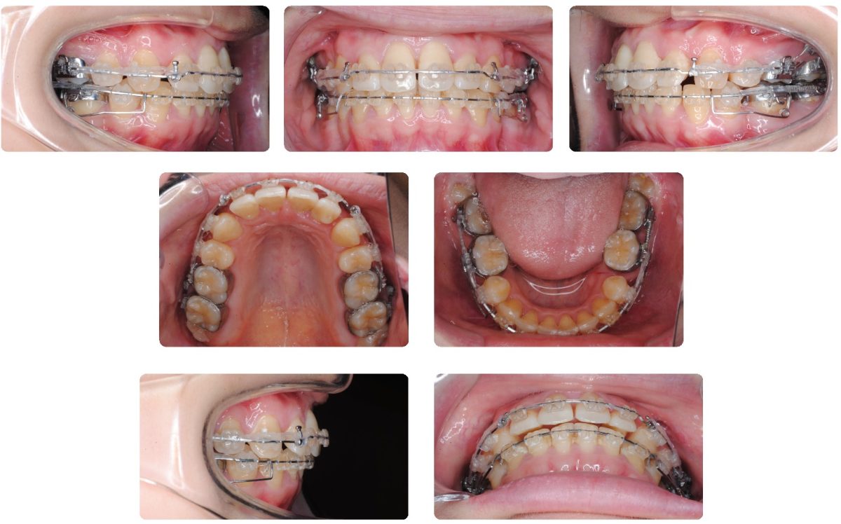
今回紹介する症例は転居による転院症例です。当院では、遠方からの転居等でやむを得ず転院せざるを得ない場合に限り治療を引き受けております。下記の画像は転院当時の状況です。治療前の初診時よりも難易度がかなり上がっていることも多々あります。

引継ぎで治療を進める場合でも一通り検査と診断を経てから治療を再開しますが、必要に応じて先に応急処置をする場合もあります。本症例では一部の装置の交換などを順次行いました。

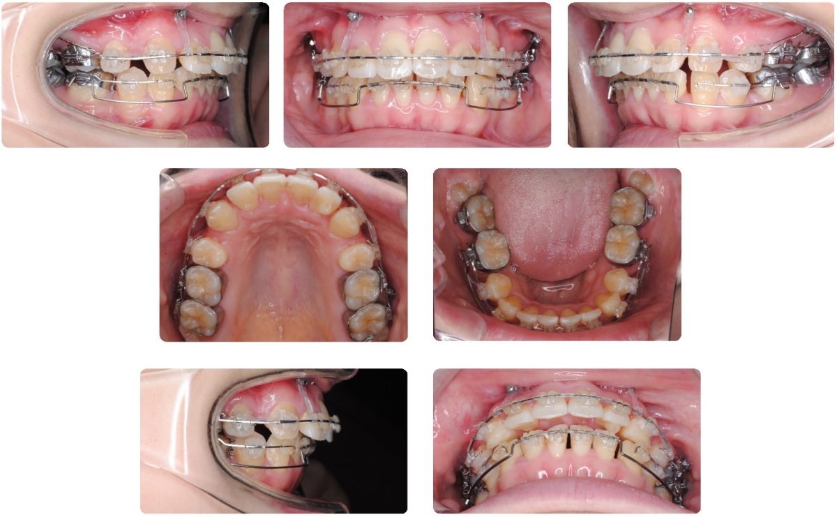
上下前歯の被さりが深いため、アンカースクリューを埋入して上顎前歯を上方に圧下しております。


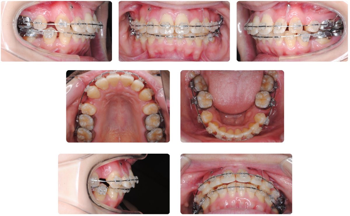
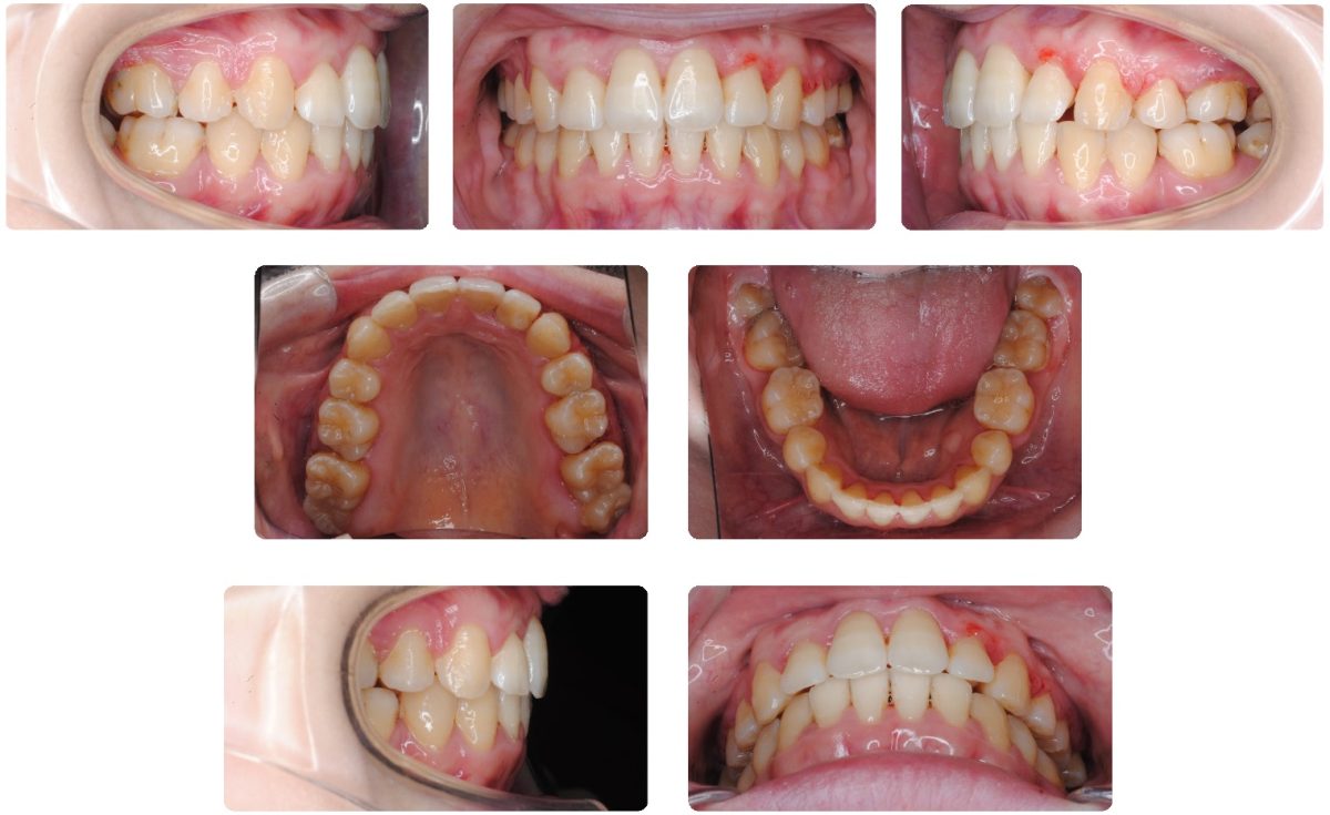
上下顎のスペースもようやく閉じてきました。

治療期間は2年7カ月を要しました。動的な治療終了後に親知らずの抜歯を行っております。



