Blog Blog

長津田⇔青葉台 長津田アオバ矯正歯科の症例 前歯で噛めない

こんにちは 横浜市青葉区 長津田 ⇔ 青葉台の長津田アオバ矯正歯科です。

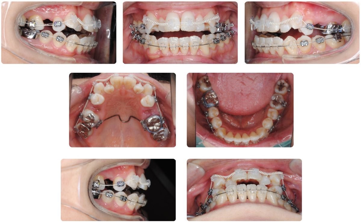
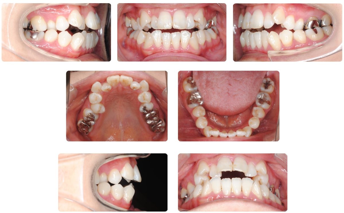
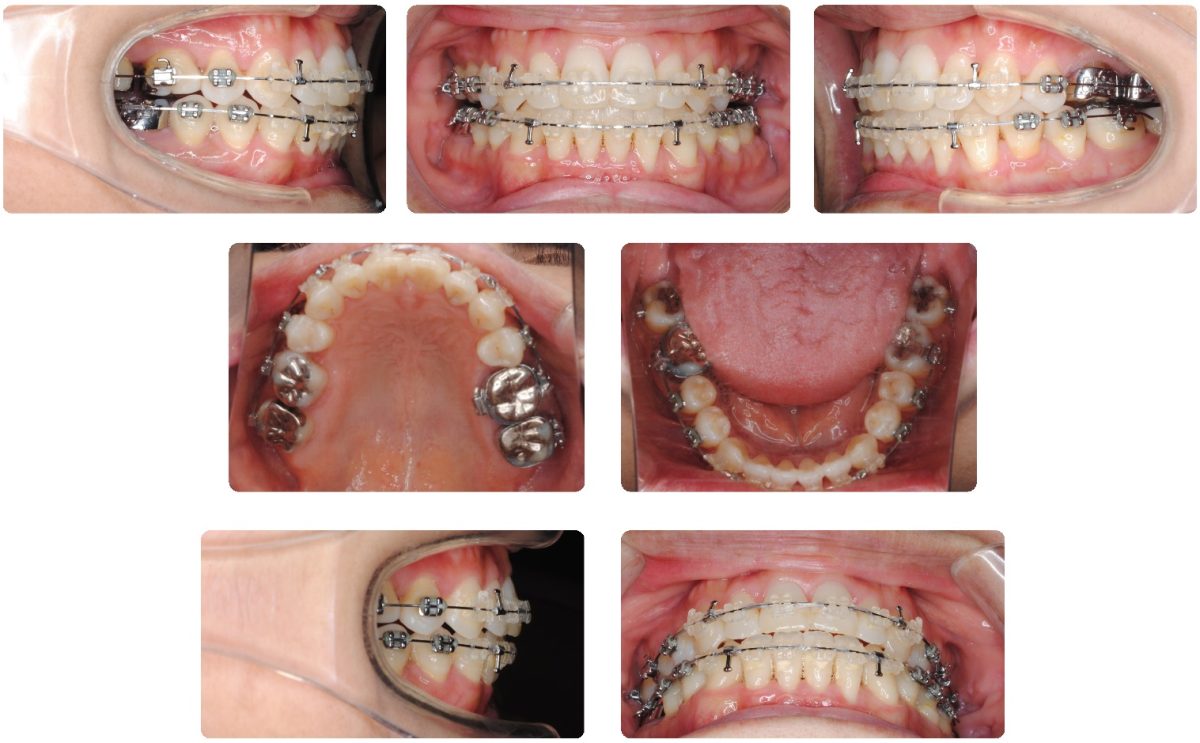
今回紹介する症例は前歯でものが噛めないとのことで来院されました。

上顎は小臼歯の抜歯を選択して、下顎は小臼歯を非抜歯としました。

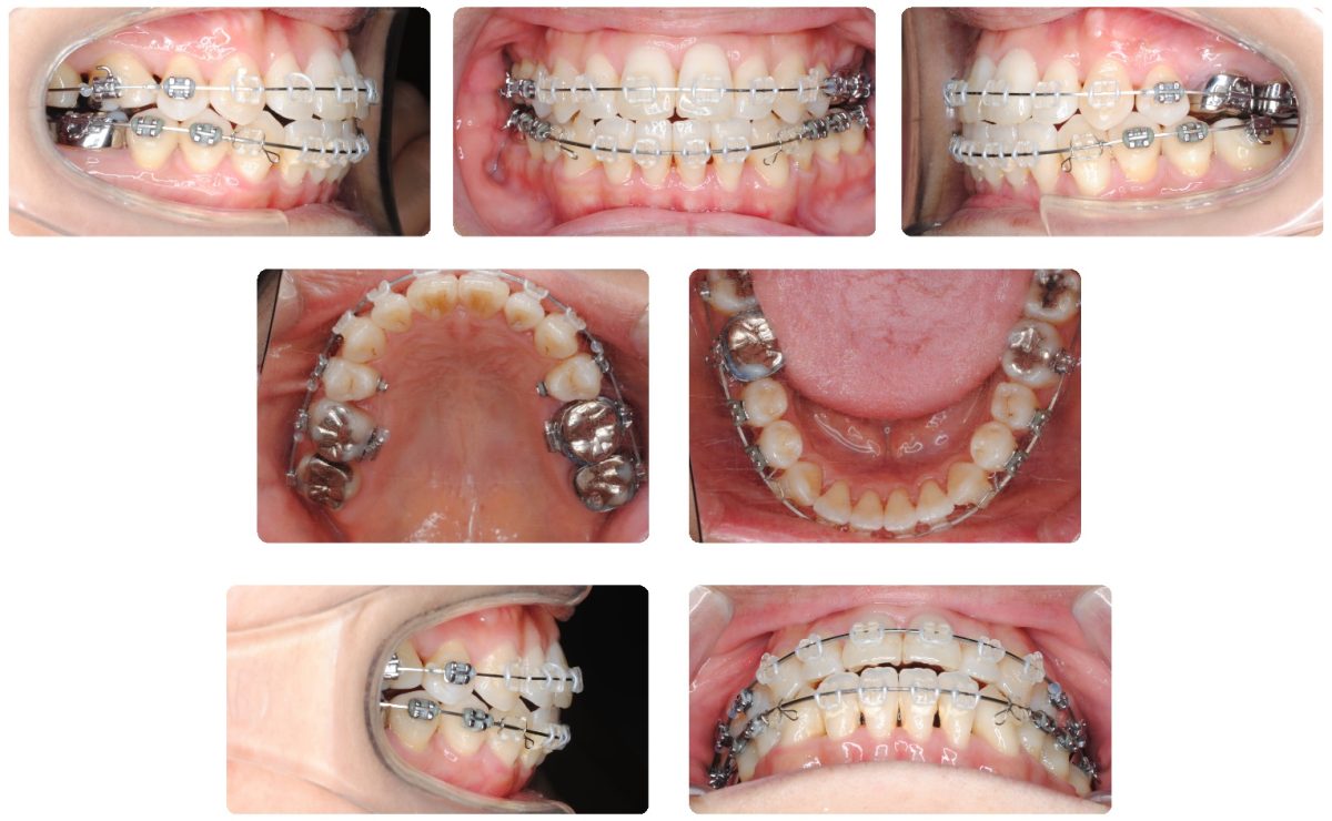
開咬の矯正治療ではアンカースクリューを上下顎の左右奥歯に埋入することが多いと思いますが、当院では開咬の治療にアンカースクリューの使用は未だしておりません。その代わりに顎間ゴムの使用に加えましてMFT(舌と飲み込みとトレーニング)を徹底していただいております。

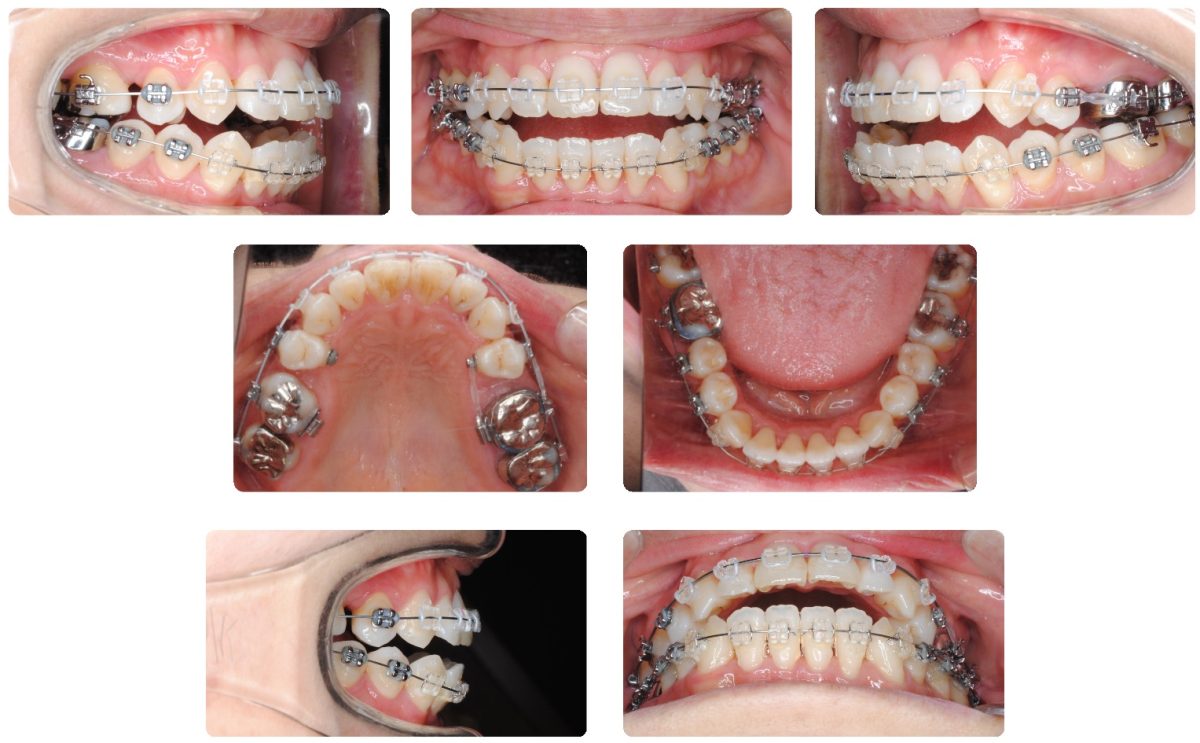
顎間ゴムとMFTをしっかり行っていただければ一カ月の変化はかなりのものです

舌のトレーニングに加えまして正しい飲み込み方を徹底させます。

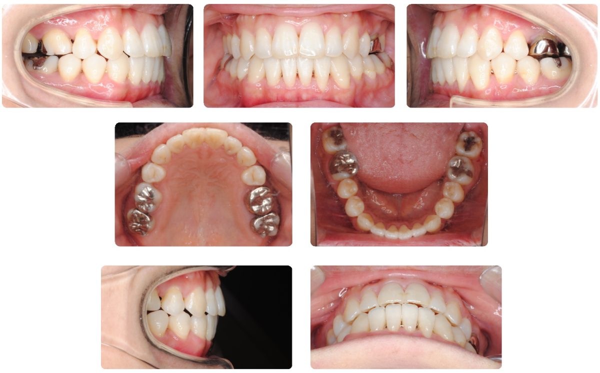
治療期間は2年0カ月でした。開咬は後戻りのしやすいかみ合わせですのでワイヤーによる治療後でもMFTはずっと継続していただいております。

2026年 4月
SUNMONTUEWEDTHUFRISAT
29休診日
30
31
1休診日
2
3
4
5休診日
6
7
8休診日
9
10
11
12休診日
13
14
15休診日
16
17
18
19休診日
20
21
22休診日
23
24
25
26休診日
27
28
29休診日
30
1
2
2026年 5月
SUNMONTUEWEDTHUFRISAT
26休診日
27
28
29休診日
30
1
2
3休診日
4
5
6休診日
7
8
9
10休診日
11
12
13休診日
14
15
16
17休診日
18
19
20休診日
21
22
23
24休診日
25
26
27休診日
28
29
30
31休診日
1
2
3休診日
4
5
6

診療日

休診日

午後休診

その他

診療日