主訴:前歯の歯並びの目が気になる
初診時年齢:14歳
性別:女性
診断名:下顎の後退を伴う過蓋咬合
抜歯/非抜歯:非抜歯
装置名:マルチブラケット装置
治療費用:約62万円(税抜)と来院時に調節料5,000円(税抜)
治療期間:1年8ヶ月
治療に関する副作用/リスク:歯の移動時の痛み 装置による口腔粘膜の口内炎
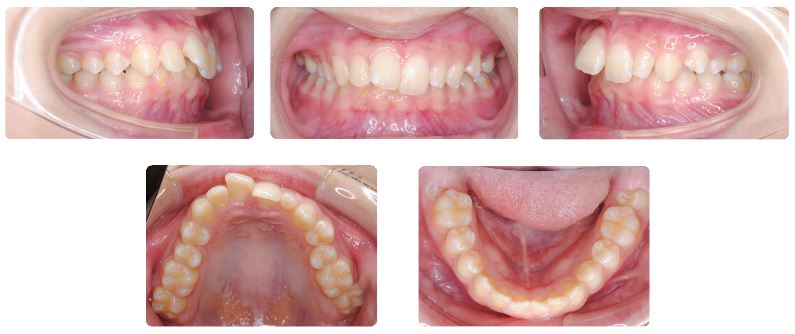
前歯の歯並びが気になるとのことで来院されました。
主訴は前歯の歯並びですが前歯の噛み合わせが深いため、下あごの前方への成長が抑制されている状態です。
小臼歯の抜歯での治療を他院で勧められていたそうですが、当院では非抜歯にて治療を行うことにしました。

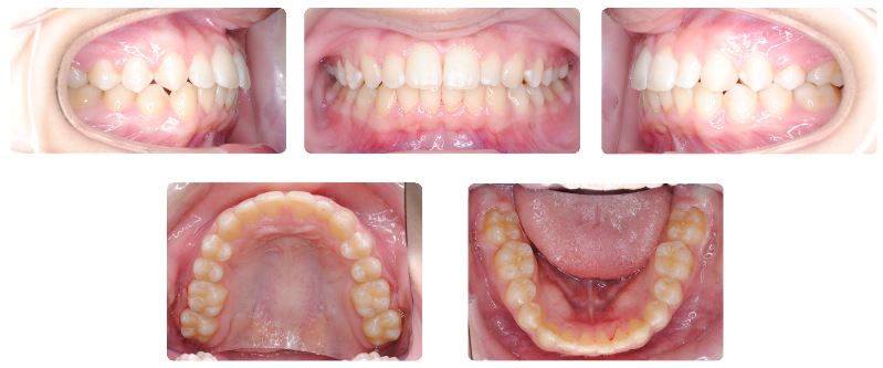
動的治療期間は1年8か月、現在保定観察中です。
小臼歯の非抜歯で治療を行いましたので可能なら早めに親不知の抜歯が必要になります。



