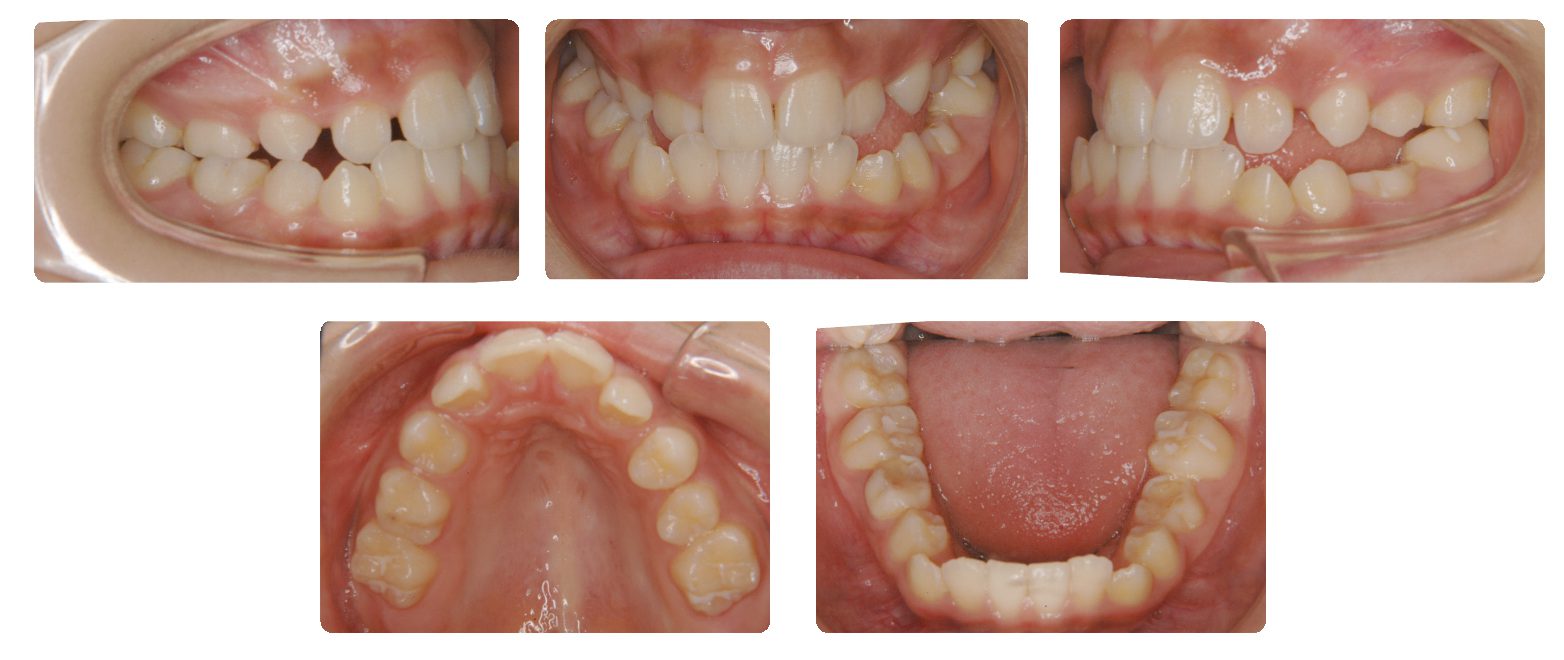
主訴:上あごの前歯が出ているが気になる 口を閉じにくい
初診時年齢:10歳
性別:女性
診断名:叢生
抜歯/非抜歯:非抜歯
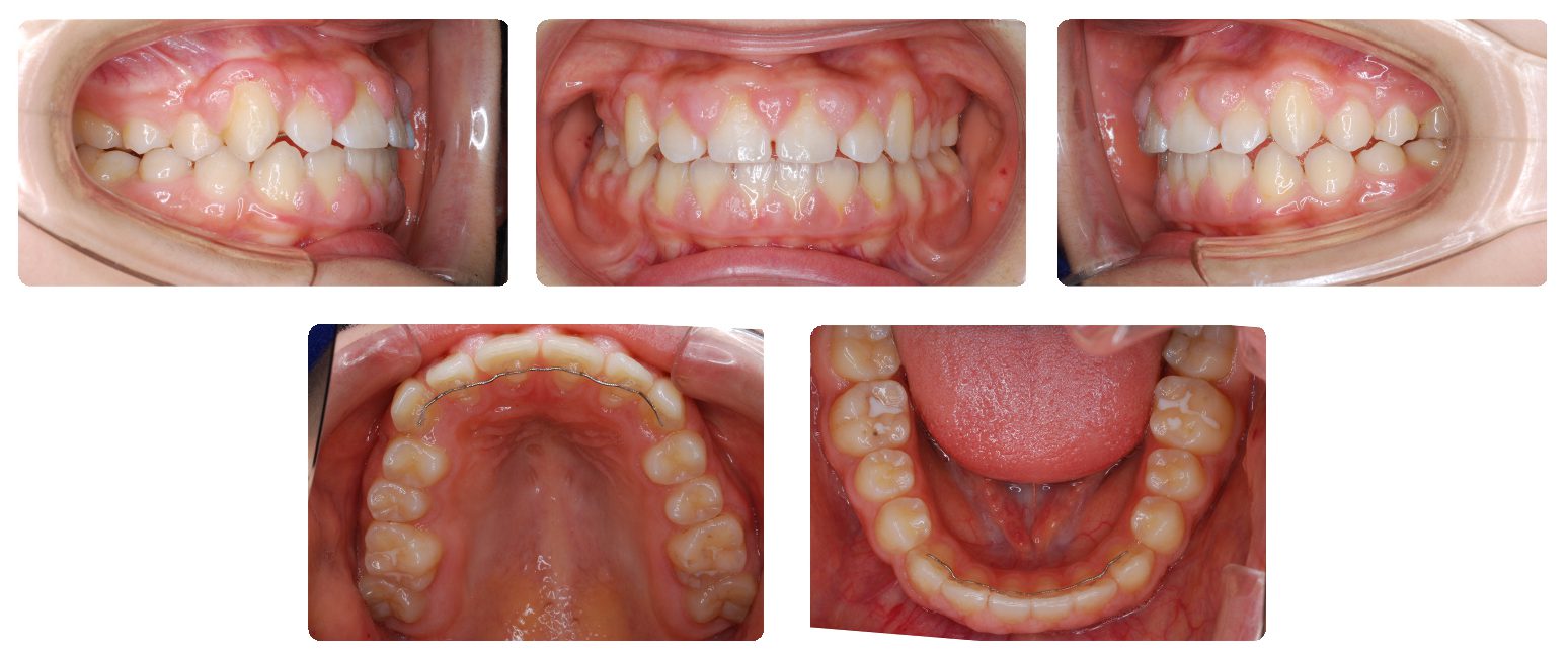
装置名:可撤式拡大装置→マルチブラケット装置
治療費用:約65万円(税抜)と来院時に調節料3,000/5,000円(税抜)
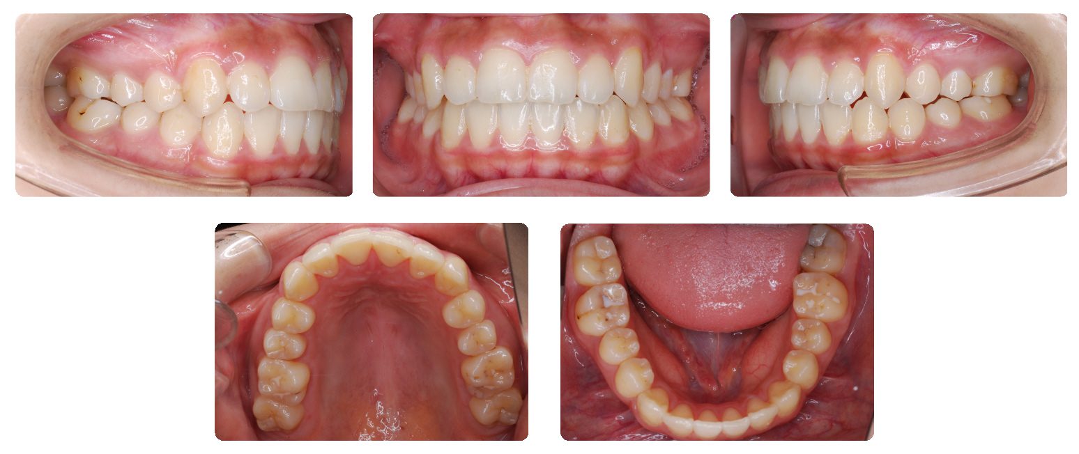
治療期間:4年0ヶ月
治療に関する副作用/リスク:歯の移動時の痛み
上顎歯列の幅がかなり狭かったので側方への拡大を先行して拡大終了後に固定式装置により個々の歯を並べることにしました。

動的治療期間は4年でした。
上あごの歯列幅を側方に拡大しながら左右犬歯の萠出スペースを少しずつ確保しました。永久歯がほぼ生え揃った時点で再診断を行い、非抜歯で治療を進めることになりました。
上下顎の歯列にマルチブラケット装置(ワイヤーによる本格矯正治療)を装着して永久歯の矯正治療を開始しました。
治療途中で服用薬の副作用による歯肉腫脹の状態を考慮して、動的処置の最終仕上げの前でところどころに至らない箇所がありますがいったん上下顎の装置を外して保定に移行しました。

保定期間が8か月ほど終了した後に、取り外しのできるマウスピースによる矯正治療で歯並びの仕上げを行いました。仕上げの動的処置期間は約2か月でした。



