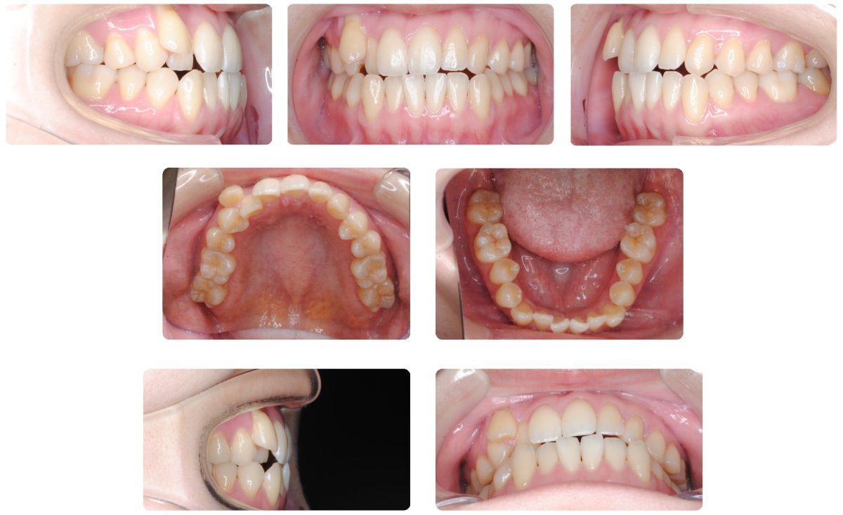
主訴:上下前歯正中のずれと八重歯、かみ合わせを治したい
初診時年齢:21歳
性別:女性
診断名:上顎低位唇側転位と側方編位の切端咬合
抜歯/非抜歯:非抜歯
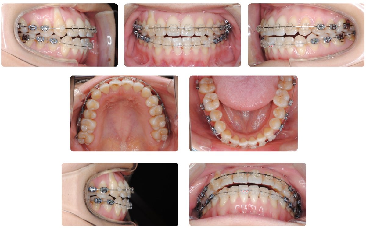
装置名:マルチブラケット装置
治療費用:約77万円(税込)と来院時に調節料5,500円(税込)
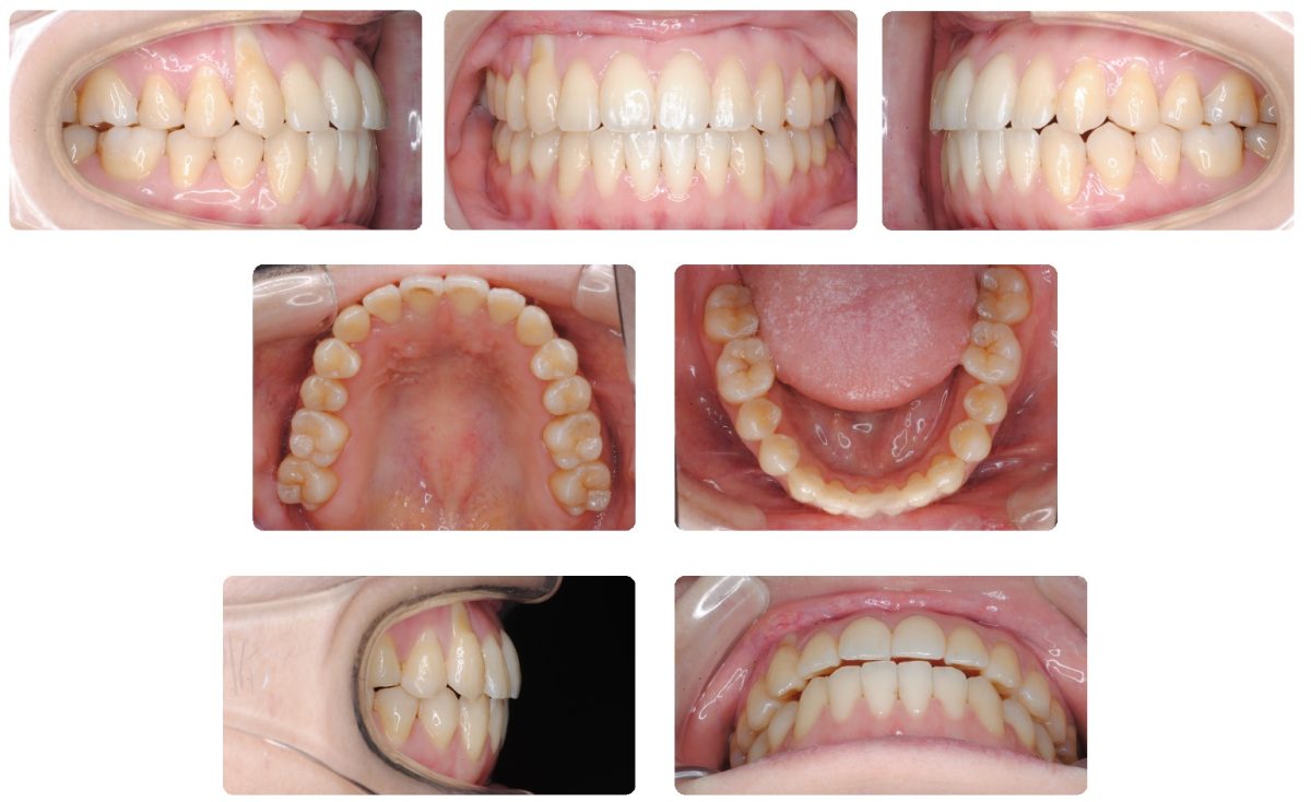
治療期間:1年11ヶ月
治療に関する副作用/リスク:歯の移動時の痛み 装置による口腔粘膜の口内炎 カリエス
上顎右側犬歯の位置と上下前歯正中のずれが気になるとのことで来院されました。上下前歯正中のずれが大きいことと上顎右側犬歯歯肉の退縮を考慮して小臼歯抜歯による治療も検討しましたが、舌が大きめであることからまずは小臼歯を非抜歯で治療を開始しました。

上顎歯列拡大を別途行ったのちに上下あごにマルチブラケット装置により個々の歯を並べました。

動的治療期間は1年11カ月でした。



