Blog Blog

舌が歯並びに与える影響は前歯だけではない

こんにちは 横浜市青葉区 長津田 & 青葉台の長津田アオバ矯正歯科です。

歯並びの乱れは上下のアゴの大きさに対して歯が大きかったりして並びきらないことだけが原因ではありません。

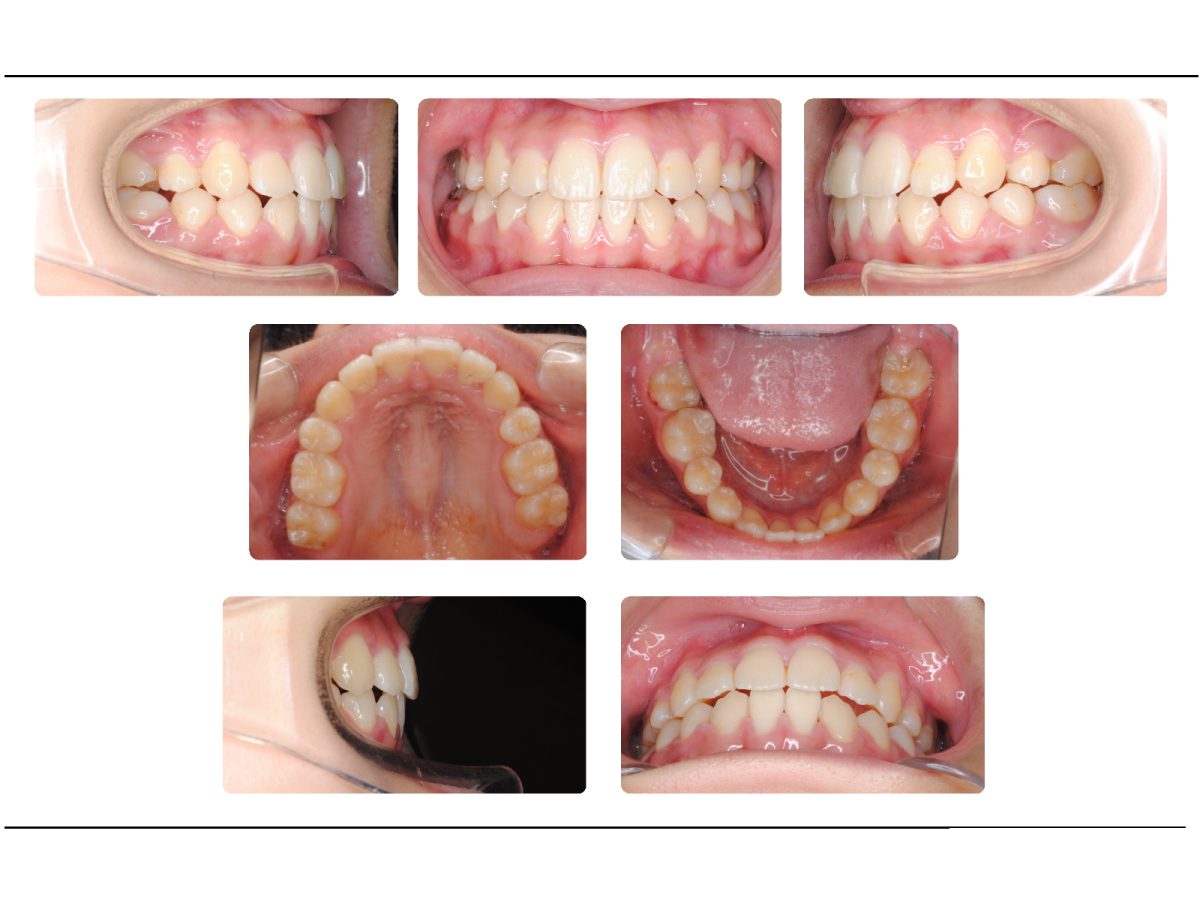
たとえば下記の症例では上顎の歯列が狭くなっているうえ、舌もかなり大きめです。また常に舌が上下の歯の間に入り込んでしまっている状態ですので歯並びに大きく影響を与えています。

このような舌が歯並びに影響を及ぼすケースはかなりの頻度で目にすることがありますので通常の歯を並べる治療に併用して舌のトレーニングを行うことで改善されます。

 

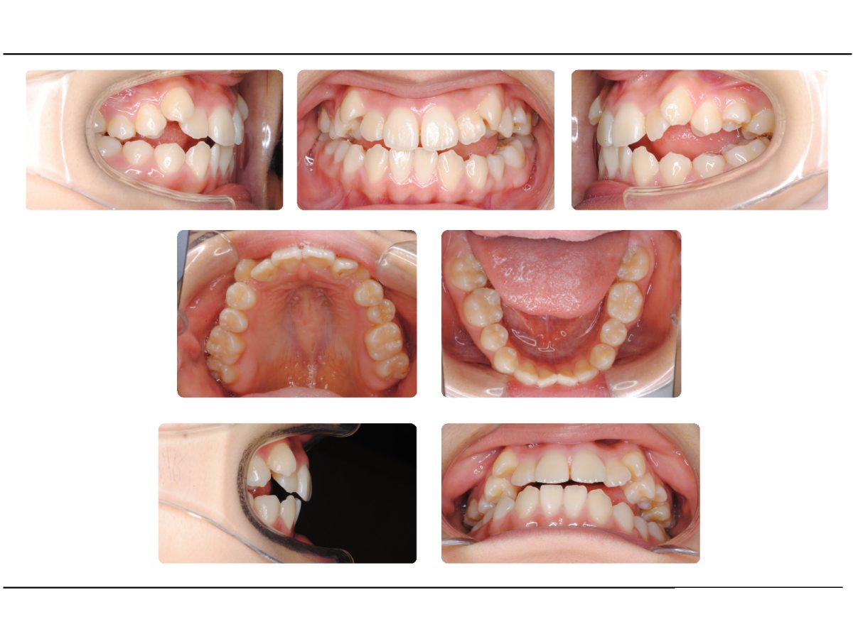
次の成人の症例も同様です。開咬(オープンバイト)といって上下の前歯が被さっていない状況と舌が影響を与えている点では同じなのですが前歯を歯の裏側から押しているのではなく、常時舌体が上下の歯の間に入り込んでいます。

この症例でも側方の歯がかみ合っていない状況ですので、舌の本来の位置と機能を身に着けさせるためのトレーニングを併用しながら歯を並べていきます。

舌が歯列に与える原因を取り除けば、歯列は素直に整ってきます。

当院では小児のみならず成人の方でも必要であれば積極的に舌のトレーニングを併用して治療を進めております。

 

2026年 4月
SUNMONTUEWEDTHUFRISAT
29休診日
30
31
1休診日
2
3
4
5休診日
6
7
8休診日
9
10
11
12休診日
13
14
15休診日
16
17
18
19休診日
20
21
22休診日
23
24
25
26休診日
27
28
29休診日
30
1
2
2026年 5月
SUNMONTUEWEDTHUFRISAT
26休診日
27
28
29休診日
30
1
2
3休診日
4
5
6休診日
7
8
9
10休診日
11
12
13休診日
14
15
16
17休診日
18
19
20休診日
21
22
23
24休診日
25
26
27休診日
28
29
30
31休診日
1
2
3休診日
4
5
6

診療日

休診日

午後休診

その他

診療日