Blog Blog

いつ頃治療が終わりますか? よくある質問 ―混合歯列期―

こんにちは 横浜市青葉区 長津田&青葉台の歯列矯正 長津田アオバ矯正歯科です。

混合歯列期の歯列治療で、そこそこ治療が進んできますとこのような質問を受けることがあります。

結論を先に述べてしまいますと、歯列矯正治療を早く終わらせてしまうことを期待することよりも最後までしっかり治すことが大事、ということに尽きます。遠距離の転居などで通院が不可能になるなどの物理的な制限がない限りは、終了を急ぐべきではありません。

それでは、さきほど述べた “最後まで” の 最後 とはいつ頃なのかということになりますが、第二大臼歯いわゆる12才臼歯がきちんと問題のない位置に生えそろって、12才臼歯が上下でかみ合う頃ということです。

12才臼歯がまだ生えていない時期に早々と治療を終わらせてしまうと、後になってから12才臼歯が歯列からずれた位置に生えてきてしまうことがあります。上下の12才臼歯がかみ合わない状態になってしまいますと、いずれ本格矯正治療を受けざるを得ない可能性がでてくるということです。

仮に臼歯のかみ合ってない状態でずっとほったらしにしますと、その臼歯には噛むという機能がないので虫歯や歯周炎になるリスクが格段に上がります。咀嚼効率も下がりますので当然ながら消化に良くなく胃腸に負担がかかることも考えられます。上下あごの噛み合わせがずれてくることもあります。

つまり、I期治療である混合歯列期の治療を12才臼歯が生える前に早々と終わらせてしまうのは “矯正治療を半ばで終了” 言い換えれば治療の中断ということになります。

もちろん、個人差がありましてこの12才臼歯がなかなか生えてこない場合もありますし、混合歯列期のI期治療から永久歯列期でのII期本格治療に移行する場合が殆どですが、上下顎のワイヤーによる本格矯正治療を必要とせずに終了できる場合も勿論ございます。

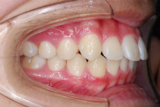
それではI期治療(混合歯列期の治療)で終了できた症例を示してみたいと思います。

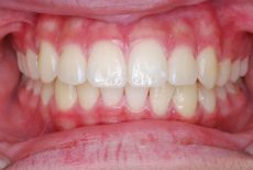
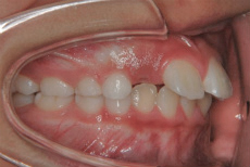
上あご前歯が前方に傾斜しており、しかも相対的に下あごが後退している上顎前突(出っ歯)の状態です。

 

まずこのような取り外しのできる装置を上あごに夜間のみ8か月間装着していただきました。

この装置を装着した目的は上あごの歯列幅拡大に加えまして、上あご前歯を後ろに引っ込めるためです。

次に上あご歯列幅拡大後に機能的矯正装置(下あごの前方への成長を誘導する装置)を3年間使用しました。この装置の装着期間ですが、乳歯がすべて永久歯に交換するまでの期間になります。

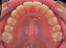
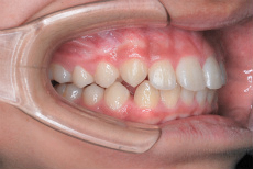
上下あご共にすべての乳歯が永久歯に交換して数か月後の噛み合わせの状態です。

この時点では上あごの12才臼歯である第二大臼歯がまだ生えていません。つまり、歯並びが整ったこの時点で ”もういいですよ” と治療をとっとと終わらせてしまうのはまだ早い ということです。

6才臼歯の後ろに生えてくる予定の12才臼歯がこの時点ではどのように生えてくるかがわからないからです。

従って、12才臼歯が下あごの12才臼歯と適度にきちんと咬みあうことが確認できるまでせめて経過観察をします。

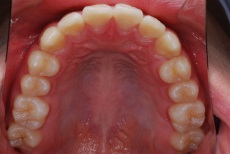
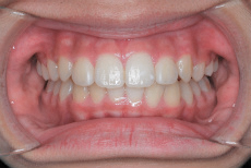
写真で確認できますように上あごの左右側12才臼歯がきちんと生えています。この噛み合わせに至るまで、本症例では固定式矯正装置での本格的矯正治療はせずにI期治療のみで終了しています。

せめてこの12才臼歯がしっかり生えてくるまでは治療の終了を急がずにじっくりと待つべし、ということです。

2026年 4月
SUNMONTUEWEDTHUFRISAT
29休診日
30
31
1休診日
2
3
4
5休診日
6
7
8休診日
9
10
11
12休診日
13
14
15休診日
16
17
18
19休診日
20
21
22休診日
23
24
25
26休診日
27
28
29休診日
30
1
2
2026年 5月
SUNMONTUEWEDTHUFRISAT
26休診日
27
28
29休診日
30
1
2
3休診日
4
5
6休診日
7
8
9
10休診日
11
12
13休診日
14
15
16
17休診日
18
19
20休診日
21
22
23
24休診日
25
26
27休診日
28
29
30
31休診日
1
2
3休診日
4
5
6

診療日

休診日

午後休診

その他

診療日