Blog Blog

新たな万能ロックシステムの開発 -ゴムメタルにも対応できる-

こんにちは 横浜市青葉区 長津田 & 青葉台の長津田アオバ矯正歯科です。

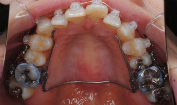
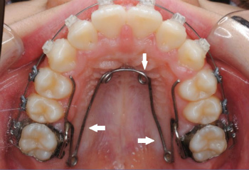
今回の話題は患者さまサイドにとってはあまり、いや殆ど関心がないかもしれません。といいますのも普段目にすることはない大臼歯に装着する技工物の一部品だからです。

でも、実はこの部品が治療の過程の中で『縁の下の~』というほど治療を効率的に進めるのに欠かせない装置の一部でもあることですし、毎回の治療時間の短縮にも貢献するというとても重要な部品ですのでこの際詳細に紹介したいと思います。

これまで口腔内で簡単に脱着可能な技工物には専ら “STロック” という優れたロックシステムに依存してきましたが、このSTロック自体はすでに70年近く前から使われているロングセラー商品でもあります。

この安価で非常に優秀なロックシステムの唯一の短所は、ステンレススチールワイヤーのみの対応ですので設計に制約が生じ、ろう着作業が必須であることです。

実はこの唯一の短所自体が 最大の欠点 でして、例えば歯列側方拡大などで矯正力を加える装置にはどうしてもワイヤーのループ屈曲などが必要となってきます。

ステンレススチールという素材自体が硬いためどうしてもワイヤーにループを組み込まない限り、矯正力を加える装置としては使いづらいのです。

しかし、技工物にループを付与すると装置自体が複雑な構造になるので歯列裏側に装着された装置に食物が絡まりやすくなり、更には歯列の側方へ矯正力を加えていくと技工物のワイヤーが粘膜に食い込んでしまうリスクなどが避けられません。

つまり装着感を良くするために粘膜に

対して適合の良い技工物を作製するとワイヤーが粘膜に食い込むリスクが高まり、反対に粘膜に食い込まないようにワイヤーを浮かせて作製すると装着感がイマイチなのです。

拡大装置の適合が良すぎると、側方への拡大力を加えていくに従って装置が粘膜に食い込みやすくなるステンレススチールワイヤーに代わり、ゴムメタルやTi-Mo(チタンモリブデン)などのチタン系ワイヤーが使えるようになりますと、これらの素材はステンレスに近い剛性を持ちながらしなやかで弾性力がありますのでループを屈曲する必要がなくなります。さらに技工物にループがないために構造が非常にシンプルになり口腔内での装着感が向上します。

ところが、このチタン系ワイヤーはSTロックなどの従来のステンレス製のロックアタッチメントに組み込むことが簡単にはできません。なぜならチタン合金と異種金属では特殊な接合技術を必要とするからです。

つまりステンレス製のロックアタッチメントとチタン系ワイヤーをいかに固定するのかという大きな課題が生じました。

実はゴムメタルなどのチタン系新素材が技工物に使うための専用のロックシステムはあるにはあります。構造はロックアタッチメントに組み込まれたマイクロスクリューでワイヤーをロックする仕組みです。技工物の構造は非常にシンプルですので、このシステムの恩恵は多大なものがあります。

ゴムメタルなどチタン系のワイヤーに対応できるGMアタッチメント (JM Ortho HPから抜粋)

しかし、この専用ロックアタッチメントの高さが思いのほか大きくて症例を選ばざるを得ず、どんな症例にも適応できるわけではないのが残念なところです。

他にもロックシステムは確かにありますが、STロックの性能を凌ぐわけではなくステンレススチールワイヤーのみしか使えないということには変わりません。しかも技工物の作製自体が一層煩雑になることに加えて技工物の口腔内での脱着がしずらいという課題が依然として残ります。

リンガルシース (ASO Internatinal のHPから抜粋

3Dシステム (ASO Internatinal のHPから抜粋)

そこで上記の欠点をすべてクリアしなければならない必要な課題は以下の通りになります。

克服すべき課題:

・Ti-Moやゴムメタルなどのチタン系ワイヤーを技工物に組み込めること

・帯環(バンド)とボンディングのどちらにも対応可能であること

・技工物の口腔内での脱着が簡単であること

・ロックシステムを上顎歯列だけでなく下顎歯列にも使用可能であること

・安価で作製が簡単であること

・技工物のシンプルな設計が可能であること

・薬事法で許可された材料を使用すること

このような課題の条件をほぼ満たすロックシステムは、材料が進化した現在でも未だにありません。そこで、”ないのであれば新たに作ってしまおう” ということで数年前から試行錯誤しながら考えては作って、作っては断念、をずっと繰り返してきました。これらの上記の課題を一つずつ克服しながら試作品を作り続けて、ようやく全ての条件を満たすロックシステムが出来上がりました。技工作業は簡単なうえ、すぐに臨床応用してみたところ思いのほか使い勝手も良好でした。

新しいロックシステムは歯にしっかりと装置を固定できますので、歯に対して安定した矯正力を加えることができます。

新しいロックシステムの特徴:

・Ti-Moやゴムメタルなどのチタン系ワイヤーを技工物に組み込められる

・バンド(帯環)とボンディングのどちらにも対応可能

・シンプルな設計なうえ口腔内での脱着がとても簡単

・上顎・下顎ともに使用可能  しかも症例を選ばない

・安価で作製がとても簡単 (ただし専用の技工機器は必要)

・すべて薬事法で許可された材料を使用

それでは新しいロックシステムを使用した技工物の紹介をしましょう。今回の開発目的は 『 より快適に しかも治療効果は最大に 』 です。

新開発のロックシステムではバンド(帯環)/ボンディングのいずれも対応可能

この新しいロックシステムは技工物の脱着装置としてだけではなく 治療用アタッチメントとしても幅広く応用できます。 今後は臨床でさまざまな用途に活用していきたいと思います。

上記の課題すべてを克服した新しいロックシステムですが、今後商品化の可能性はあるにはあるものの当面は当院限定での使用となります。

他にも年始に紹介した次世代型リテーナーを含めて、実はこれまで長津田アオバ矯正歯科では各種装置や計測器を新たに開発してきました。これらの開発製品の一部しかまだ紹介できていませんが、皆さまの日々の治療を効率よく進めるにあたり陰ながら非常に役立てております。

そして、何気ない日常の中にある何かしらの不便や疑問などが新たな商品開発につながる源泉であると思います。皆さまのなんらかの普段感じている疑問や不便さの中にはお宝がたくさん眠っています。

何とかならないかという課題に対して常に創造力を働かせると、そこに第六感が作用して新しい大きな発見・発明につながるかもしれません。

2026年 4月
SUNMONTUEWEDTHUFRISAT
29休診日
30
31
1休診日
2
3
4
5休診日
6
7
8休診日
9
10
11
12休診日
13
14
15休診日
16
17
18
19休診日
20
21
22休診日
23
24
25
26休診日
27
28
29休診日
30
1
2
2026年 5月
SUNMONTUEWEDTHUFRISAT
26休診日
27
28
29休診日
30
1
2
3休診日
4
5
6休診日
7
8
9
10休診日
11
12
13休診日
14
15
16
17休診日
18
19
20休診日
21
22
23
24休診日
25
26
27休診日
28
29
30
31休診日
1
2
3休診日
4
5
6

診療日

休診日

午後休診

その他

診療日